티스토리 뷰
심근염은 심장 근육 염증으로, 바이러스나 감염 등으로 발생합니다. 증상은 피로와 근육통부터 호흡 곤란과 심장 관련 심각한 증상까지 다양합니다. 그래서 심근염 정의 원인 증상 예방법 치료법 좋은 음식 나쁜 음식 등 총정리를 함으로써 작게나마 정보라도 얻어 가셨으면 좋겠습니다.

심근염 정의
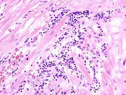
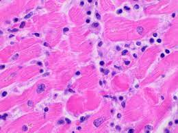
심근염(Myocarditis)은 심장 근육인 심근의 염증을 나타내며, 주로 바이러스, 박테리아, 기생충, 약물 반응 등의 인자로 인해 발생합니다. 이 염증은 심근 조직의 염증 세포와 면역 반응의 과도한 활성화로 인해 발생할 수 있습니다. 심근염은 심장 기능의 변화를 초래하며, 심장 파괴와 심부전과 같은 심각한 합병증을 유발할 수 있습니다.
심근염의 진단은 심전도, 혈액 검사, 심장 자기 공명영상(MRI) 등을 활용하여 염증의 증거를 확인합니다. 치료는 주로 염증의 원인에 따라 달라지며, 항염증 약물, 휴식, 증상 관리 등이 사용될 수 있습니다. 이 질환은 의료 전문가와의 상담을 통해 정확한 진단과 적절한 치료가 이루어져야 합니다.
심근염 원인
심근염의 원인은 다양한 요인에 의해 발생할 수 있습니다. 주로 다음과 같은 원인들이 심근염을 유발할 수 있습니다:
- 바이러스 감염: 바이러스는 주로 심근 조직을 침범하고 염증 반응을 유발하는데, 이러한 바이러스에는 코로나바이러스, 인플루엔자 바이러스, 에코바이러스, 콕사키 바이러스 등이 포함됩니다.
- 박테리아 및 기생충 감염: 박테리아인 황색포도상구균, 매독균, 결핵균 등이나 기생충인 트립아노소마 크루시 등이 심근염을 유발할 수 있습니다.
- 약물 반응: 특정 약물의 부작용으로 심근 염증이 발생할 수 있습니다. 이러한 약물에는 항생제, 항불안약, 항히스타민제, 항원감제 등이 포함될 수 있습니다.
- 면역 반응: 면역 체계의 과도한 반응으로 인해 심근 조직에 염증이 발생할 수 있습니다. 이는 자가면역 질환과 관련되어 있을 수 있습니다.
- 화학 물질 노출: 특정 화학 물질에 노출될 경우, 심근 조직에 손상과 염증이 발생할 수 있습니다.
스트레스 및 신체 부상: 급격한 신체 부상이나 높은 스트레스 상황은 심근염을 유발할 수 있습니다. - 유전적 요인: 가족력이 심근염 발생 위험을 증가시킬 수 있습니다.
심근염의 원인은 개인의 상황과 환경에 따라 다양하며, 정확한 원인을 밝히기 위해서는 의료 전문가의 평가와 진단이 필요합니다.
심근염의 원인은 개인의 상황과 환경에 따라 다양하며, 정확한 원인을 밝히기 위해서는 의료 전문가의 평가와 진단이 필요합니다
심근염 증상
심근염의 증상은 다양하며, 경증부터 중등도 및 심각한 경우까지 다양한 정도로 나타날 수 있습니다. 주요 증상은 다음과 같습니다:
- 피로: 심근염 환자는 뚜렷한 활동 없이도 지속적인 피로를 느낄 수 있습니다.
- 근육통 및 관절통: 근육과 관절에 통증이 나타날 수 있습니다.
- 발열: 염증 반응으로 인해 발열이 발생할 수 있습니다.
- 호흡 곤란: 중등도에서 심각한 경우 심장의 기능 저하로 호흡 곤란이 발생할 수 있습니다.
- 흉통: 가슴 통증이 발생할 수 있으며, 특히 중앙 또는 왼쪽 가슴 부분에 느껴질 수 있습니다.
- 부정맥: 심근염으로 심장의 전기 활동이 이상하게 발생할 수 있어 부정맥이 발생할 수 있습니다.
- 호흡기 증상: 기침, 숨쉬기 곤란 등의 호흡기 증상이 나타날 수 있습니다.
- 일반적 불쾌감: 두통, 메스꺼움, 체한감 등의 일반적인 불쾌감이 나타날 수 있습니다.
심근염의 증상은 다른 질환과 유사할 수 있어 정확한 진단을 위해 의료 전문가와 상담하는 것이 중요합니다. 특히 가슴 통증이나 호흡 곤란과 같은 심각한 증상이 나타날 경우 즉시 의료 기관을 방문하여 평가를 받아야 합니다.
심근염 예방
심근염을 예방하기 위해 다음과 같은 주요 접근 방법을 고려할 수 있습니다:
- 위생 수칙 준수: 바이러스나 박테리아로부터의 감염을 예방하기 위해 손을 자주 씻고, 감기나 독감에 걸렸을 때는 다른 사람과의 접촉을 피하는 등의 위생 수칙을 지켜야 합니다.
- 올바른 백신 접종: 감염병 예방을 위해 권장되는 백신을 받는 것이 중요합니다. 예를 들어, 독감 백신이나 폐렴구균 백신을 접종함으로써 심근염을 유발할 수 있는 감염을 예방할 수 있습니다.
- 규칙적인 운동: 적절한 운동을 통해 심혈관 건강을 증진시키고 심근염의 발생 위험을 줄일 수 있습니다. 하지만 과도한 운동은 심장 건강에 해를 끼칠 수 있으므로, 전문가의 조언을 듣는 것이 중요합니다.
- 건강한 식습관: 심장 건강을 지키기 위해 저지방, 고단백, 과일과 채소가 풍부한 식사를 섭취하는 것이 좋습니다. 과도한 나트륨과 포화 지방의 섭취는 피해야 합니다.
- 스트레스 관리: 만성적인 스트레스는 심장 건강에 영향을 줄 수 있으므로, 적절한 스트레스 관리 방법을 찾는 것이 중요합니다. 요가, 명상, 운동, 취미 등을 통해 스트레스를 관리할 수 있습니다.
- 금연 및 음주 제한: 담배와 과도한 음주는 심장 건강에 해를 끼치므로, 금연하고 음주량을 제한하는 것이 좋습니다.
의사와의 정기적인 상담: 심장 건강을 유지하기 위해 의사와의 정기적인 건강 검진과 상담을 받는 것이 중요합니다. 위험 요인을 평가하고 예방 전략을 수립할 수 있습니다.
심근염 예방을 위해서는 위에서 언급한 요소들을 종합적으로 고려하여 건강한 라이프스타일을 유지하는 것이 중요합니다.
심근염 치료법
심근염의 치료는 증상의 심각성, 원인, 환자의 상태에 따라 다양하게 접근됩니다. 아래는 심근염 치료에 관련된 몇 가지 주요 접근 방법입니다:
- 약물 치료: 염증 및 심장 기능을 개선하기 위해 항염증 약물이 사용될 수 있습니다. 스테로이드나 비스무트 등의 약물이 심근 염증을 줄이는 데 도움을 줄 수 있습니다.
- 휴식: 염증이 심각한 경우, 휴식이 권장될 수 있습니다. 심근염의 염증이 감소하고 심장이 회복될 수 있도록 적절한 휴식을 취해야 합니다.
- 항응고 요법: 혈전 형성을 예방하기 위해 항응고제가 사용될 수 있습니다. 이는 심근염으로 심장 혈관에 손상이 생겼을 때 혈전이 형성되는 것을 방지하는 데 도움을 줄 수 있습니다.
- 심장 기능 지원: 심근염이 심장 기능을 약화시킬 경우, 심장 기능을 지원하기 위해 심장약물이 사용될 수 있습니다. 이로써 심장은 효율적으로 작동하며 심부전 등의 합병증을 최소화할 수 있습니다.
- 면역 억제제: 면역 반응을 억제하는 약물이 심근 염증을 줄이는 데 도움을 줄 수 있습니다. 이는 면역 체계의 과도한 반응을 억제하여 염증을 감소시키는 역할을 합니다.
- 기계적 지원: 중증 심근염의 경우 심장 기능이 심각하게 저하될 수 있습니다. 이런 경우 심장 비대증을 개선하기 위해 심장 비대증 장치나 심장 이식 등의 수술적 옵션이 고려될 수 있습니다.
- 재활 프로그램: 심근염으로 인한 심장 기능 저하 후, 심장 재활 프로그램을 통해 적절한 운동과 식습관 개선을 통해 심장 기능을 회복시키는 데 도움을 줄 수 있습니다.
심근염의 치료는 개인의 상황과 심각성에 따라 달라질 수 있으며, 의료 전문가의 지도 아래서 적절한 치료 계획을 개발하고 실시하는 것이 중요합니다.
심근염 가지신 분에게 좋은 음식
심근염 환자를 위한 영양은 심장 건강을 지원하고 염증을 감소시키는 데 중요합니다. 아래는 심근염 환자에게 좋은 음식들과 그 이유를 자세히 설명한 것입니다:
- 고양이류 물고기: 오메가-3 지방산이 풍부한 물고기는 심장 건강을 촉진하는 데 도움이 됩니다. 이러한 지방산은 염증을 감소시키고 심장 리듬을 안정화시키는 효과가 있을 수 있습니다.
- 열매와 채소: 과일과 채소는 항산화 물질과 비타민, 미네랄이 풍부하여 염증을 줄이고 심장 건강을 지원합니다. 특히 베리류(블루베리, 딸기 등)와 녹색 채소(시금치, 케일 등)가 좋은 선택입니다.
- 견과류: 호두, 아몬드, 호박씨 등의 견과류는 오메가-3 지방산과 단백질, 식이 섬유가 풍부하여 심장 건강을 증진시키고 염증을 감소시킬 수 있습니다.
- 전분이 적은 식품: 백미 대신 통곡물이나 고구마, 귀리 등의 전분이 적은 식품을 선택하는 것이 좋습니다. 이러한 식품은 혈당 변동을 완화하고 심장 건강을 지원할 수 있습니다.
- 저지방 단백질: 닭 가슴살, 토푸, 콩, 두부 등의 저지방 단백질은 심장 건강을 증진하면서도 포만감을 유지하는 데 도움을 줄 수 있습니다.
- 비지방 유제품: 저지방 요구르트나 저지방 우유는 단백질과 칼슘을 제공하면서도 포화 지방 섭취를 줄이는 데 도움을 줄 수 있습니다.
- 식이 섬유: 과일, 채소, 견과류, 곡물 등의 식이 섬유는 소화를 도와주고 혈당을 안정화시키며 염증을 감소시키는 데 기여할 수 있습니다.
- 비타민과 미네랄 보충: 심근염 환자는 비타민 D, 마그네슘, 칼륨 등의 영양소를 적절히 섭취해야 합니다. 하지만 의사와 상담하여 영양제 복용 여부를 결정하는 것이 좋습니다.
이러한 식품들을 조합하여 균형 잡힌 식단을 유지하면서, 의료 전문가의 조언을 듣는 것이 심근염 환자의 심장 건강을 효과적으로 관리하는 데 도움이 될 수 있습니다.
심근염 가지신 분에게 나쁜 음식
심근염이나 심장 건강을 고려할 때 피하는 것이 좋은 나쁜 음식들은 다음과 같습니다:
- 과다한 나트륨 함유 식품: 과도한 나트륨 섭취는 혈압 상승과 심장 건강에 부정적인 영향을 미칠 수 있습니다. 가공 식품, 패스트푸드, 소금이 많이 든 음식을 피하는 것이 좋습니다.
- 포화 지방과 트랜스 지방 함유 식품: 과다한 포화 지방과 트랜스 지방 섭취는 동맥경화와 심장 질환 위험을 증가시킬 수 있습니다. 특히 고지방 육류, 프리미엄 간식, 패스트푸드의 튀김 음식은 피하는 것이 좋습니다.
- 과당 첨가 음료 및 간식: 설탕이 많이 첨가된 음료나 과자류는 체중 증가와 당뇨병 위험을 높일 수 있으며, 이는 심장 건강에도 영향을 미칠 수 있습니다.
- 과도한 알코올: 과도한 음주는 심장 건강을 해칠 수 있습니다. 음주량을 제한하거나 가능하면 음주를 피하는 것이 좋습니다.
- 높은 콜레스테롤 함유 식품: 지나치게 높은 콜레스테롤 섭취는 동맥경화와 심장 건강에 부정적인 영향을 미칠 수 있습니다. 내장 동물 지방이 많은 육류와 가공 육류는 콜레스테롤 함량이 높을 수 있습니다.
- 단백질 과다 섭취: 너무 많은 단백질 섭취는 신장에 부담을 주고 혈중 요소를 증가시킬 수 있습니다. 과다한 육류 섭취나 고단백 다이어트는 신중하게 고려해야 합니다.
- 과도한 카페인 섭취: 과다한 카페인은 심장의 빈맥 및 불규칙한 심장 박동을 유발할 수 있습니다. 커피와 에너지 음료의 과도한 소비를 피하는 것이 좋습니다.
- 고 설탕 디저트: 설탕이 풍부한 디저트는 단기적으로 기분을 좋게 만들 수 있지만, 장기적으로 체중 증가와 당뇨병 등을 유발할 수 있습니다.
이러한 음식들을 피하거나 가능한 한 제한하면서, 심근염 및 심장 건강을 보호하는 데 도움이 될 수 있습니다. 하지만 의료 전문가와 상담하여 개별적인 식습관 조언을 받는 것이 중요합니다.











