티스토리 뷰
갑상선 기능 저하증은 갑상선이 충분한 호르몬을 생성하지 못해 신체 대사율이 느려지는 상황을 말합니다. 이로 인해 피로, 체중 증가, 두통 등의 증상이 나타날 수 있습니다 이런 이유로 갑상선 기능 저하증 정의 원인 증상 예방법 치료법 좋은 음식 나쁜 음식 총정리를 해보겠습니다.

갑상선 기능 저하증 정의
갑상선 기능 저하증(하이포갑상선증)은 갑상선이 충분한 양의 갑상선 호르몬을 생성하지 못하여 발생하는 상태를 말합니다. 갑상선은 목의 앞쪽에 위치한 작은 절기로, 대사율 조절, 올바른 성장 및 발달, 체온 조절 등 여러 가지 기능을 조절하는 역할을 합니다. 이 기능은 갑상선에서 생성되는 갑상선 호르몬인 T3 (트리요도신타이로닌)와 T4 (티로신)에 의존합니다.
갑상선 기능 저하증은 갑상선 호르몬의 수준이 충분하지 않아 대사율이 느려지고 체내 여러 기능이 감소하는 상태입니다. 주요 원인으로는 자가면역성 갑상선염 (Hashimoto's Thyroiditis), 갑상선 수종 수술 또는 방사선 치료, 갑상선염, 약물 사용, 출산 후 갑상선 기능 저하증 등이 있습니다. 이로 인해 환자들은 피로, 체중 증가, 피부 건조, 손톱의 부서짐, 기억력 저하, 우울감 등의 증상을 경험할 수 있습니다.
갑상선 기능 저하증은 신체의 여러 기능에 영향을 미치기 때문에 조기 발견과 적절한 치료가 중요합니다. 의사의 진단과 지속적인 모니터링을 통해 갑상선 기능 저하증을 관리하는 것이 환자의 건강과 생활의 질을 개선하는데 도움이 됩니다.
갑상선 기능 저하증 원인
갑상선 기능 저하증(하이포갑상선증)은 갑상선이 충분한 양의 갑상선 호르몬을 생산하지 않아서 발생하는 상태를 말합니다. 갑상선은 몸의 대사율을 조절하고 다양한 기능을 조정하는 역할을 합니다. 갑상선 기능 저하증의 주요 원인은 다음과 같습니다:
- 자가면역성 갑상선염 (Hashimoto's Thyroiditis): 이는 갑상선 조직에 대한 면역 시스템의 과도한 반응으로 인해 갑상선 조직이 파괴되는 상태를 말합니다. 이로 인해 갑상선 호르몬의 생산량이 감소하게 되어 갑상선 기능 저하증이 발생할 수 있습니다.
- 갑상선 수종 수술 또는 방사선 치료: 갑상선 수종을 제거하는 수술을 받거나 방사선 치료를 받는 경우, 갑상선 조직의 일부가 손상되거나 제거될 수 있습니다. 이로 인해 갑상선 기능이 감소할 수 있습니다.
- 갑상선염: 감염에 의한 갑상선 조직의 염증은 갑상선 기능 저하를 유발할 수 있습니다.
약물: 특정 약물이 갑상선 기능을 억제할 수 있습니다. 이러한 약물에는 리튬, 아미오다론, 프로픈치아지온 등이 있습니다. - 출산 후 갑상선 기능 저하증 (Postpartum Thyroiditis): 분만 후에 갑상선 기능 저하증이 발생할 수 있으며, 이는 분만 후 갑상선 조직의 염증과 관련이 있을 수 있습니다.
- 유전적 요인: 가족력이 갑상선 기능 저하증 발생 위험을 높일 수 있습니다.
- 기타 원인: 영양 부족, 스트레스, 항갑상선 항체의 증가 등이 갑상선 기능 저하를 초래할 수 있습니다.
갑상선 기능 저하증 증상
갑상선 기능 저하증(하이포갑상선증)의 증상은 다양하며 조절되지 않는 경우 체내의 여러 기능에 영향을 미칠 수 있습니다. 주요 증상은 다음과 같습니다:
- 피로와 무기력: 활동적인 일이나 운동을 할 때도 지속적인 피로와 힘들게 느낄 수 있습니다.
- 체중 증가: 대사율의 감소로 인해 체중이 증가할 수 있습니다.
- 피부의 변화: 피부가 건조하고 가려워지며, 얼굴과 손에 부채꼴 모양의 홍반(여드름 모양)이 생길 수 있습니다.
- 손톱의 변화: 손톱이 부서지기 쉬워지고 빠르게 부러질 수 있습니다.
- 머리카락 변화: 머리카락이 가늘어지고 맑고 윤기 없어질 수 있습니다.
- 기억력 및 집중력 저하: 뇌 기능에도 영향을 줄 수 있어 기억력과 집중력이 떨어질 수 있습니다.
- 감정 변화: 우울감과 불안감이 증가할 수 있으며, 정서적으로 불안정해질 수 있습니다.
- 냉기 감수성 증가: 추위에 민감해지고 심한 경우 손과 발이 차가워질 수 있습니다.
- 변비: 소화 기능이 느려져 변비가 발생할 수 있습니다.
- 목의 부종: 갑상선 기능 저하로 인해 목 주위에 부종이 발생할 수 있습니다. 이를 고 이어증이라고 합니다.
이러한 증상이 모두 나타나지는 않을 수 있으며, 각 개인마다 다양한 형태로 나타날 수 있습니다. 만약 이러한 증상이 의심된다면 의사와 상담하여 정확한 진단과 적절한 치료를 받는 것이 중요합니다.
갑상선 기능 저하증 진단 및 검사
갑상선 기능 저하증(하이포갑상선증)의 진단은 의사가 환자의 증상, 병력, 신체검사 결과를 종합적으로 고려하여 이루어집니다. 그러나 증상만으로는 정확한 진단을 내리기 어려울 수 있습니다. 따라서 갑상선 기능 저하증의 진단을 위해 일반적으로 수행되는 검사에 대해 알아보겠습니다.
- 혈액 검사: 갑상선 관련 지표를 측정하기 위해 혈액 검사가 수행됩니다. 주로 측정되는 지표로는 TSH (갑상선 자극 호르몬), T4 (프리티로신), T3 (프리트리요도신타이로닌) 등이 있습니다. 갑상선 기능 저하증의 경우 TSH 농도가 증가하고 T4 농도가 감소하는 것이 특징입니다.
- 항체 검사: 자가면역성 갑상선염과 관련된 경우 갑상선 관련 항체 검사가 수행될 수 있습니다. 이로써 면역 시스템의 갑상선 조직 공격과 관련된 정보를 얻을 수 있습니다.
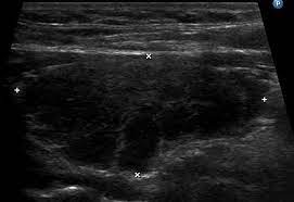
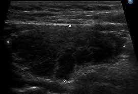
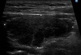
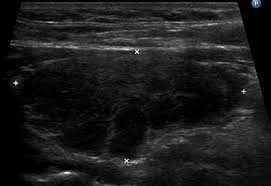
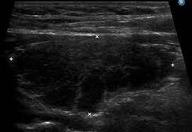
- 초음파 검사: 갑상선 초음파 검사를 통해 갑상선의 크기와 모양, 이상 징후 등을 확인할 수 있습니다.
- 전이물검사: 갑상선 기능 저하증 환자에게는 특정 약물의 영향을 확인하기 위해 전이물검사가 수행될 수 있습니다.
- 갑상선 촬영: 방사성 요오드를 이용하여 갑상선의 기능과 구조를 확인하는 촬영 검사입니다.
- 종양 마커 검사: 드물지만 갑상선 기능 저하증이 종양과 관련될 경우 관련 종양 마커 검사도 수행될 수 있습니다.
- 임상 평가: 의사는 환자의 증상, 병력, 신체 검사 결과를 종합하여 진단을 내립니다.
검사 및 평가는 개별적인 상황에 따라 달라질 수 있습니다. 갑상선 기능 저하증의 증상이 의심된다면, 의사의 지시에 따라 필요한 검사를 받아 정확한 진단을 받는 것이 중요합니다.
갑상선 기능 저하증 합병증
갑상선 기능 저하증 합병증(하이포갑상선증 합병증)은 갑상선 기능 저하증 환자들이 다른 건강 상태와 연관된 합병증을 경험하는 상황을 말합니다. 갑상선 기능 저하증은 체내의 대사 속도를 늦추는데, 이로 인해 다른 기관 및 시스템에 영향을 미칠 수 있습니다. 아래는 갑상선 기능 저하증과 관련된 일부 합병증 예시입니다:
- 심혈관 질환: 갑상선 기능 저하증은 심박수를 늦추고 혈압을 올리는데, 이로 인해 심혈관 질환 발생 위험이 증가할 수 있습니다. 심장의 수축력이 저하되고 혈관의 노폐물 제거 능력이 저하될 수 있습니다.
- 고지혈증: 갑상선 호르몬의 부족으로 인해 혈중 콜레스테롤 수치가 상승할 가능성이 있으며, 이는 고지혈증과 관련될 수 있습니다.
- 골다공증: 갑상선 기능 저하증은 뼈의 칼슘 대사에 영향을 미칠 수 있어 골다공증의 발생 위험이 높아질 수 있습니다.
- 우울증: 갑상선 기능 저하증 환자들은 우울증 증상을 경험할 가능성이 높습니다. 갑상선 호르몬은 신경전달물질과 관련된데, 이러한 화학 물질의 불균형은 우울증을 악화시킬 수 있습니다.
- 뇌 기능 저하: 갑상선 기능 저하증은 뇌 기능에 영향을 미칠 수 있어 기억력, 집중력, 인지 능력 등의 저하를 가져올 수 있습니다.
- 생식 기능 저하: 갑상선 기능 저하증은 생식 기능에 영향을 줄 수 있어 생리 주기의 불규칙성, 생식 불능 등의 문제가 발생할 수 있습니다.
- 녹내장: 갑상선 기능 저하증 환자들은 녹내장 발생 위험이 높아질 수 있습니다.
- 고혈당: 갑상선 기능 저하증은 혈당 조절에 영향을 미칠 수 있어 당뇨병 발생 위험이 높아질 수 있습니다.
심혈관 질환 정의 원인 증상 예방법 치료법 좋은 음식 나쁜 음식
우리의 심장은 삶의 엔진입니다. 하지만 현대 사회에서는 스트레스, 불규칙한 식습관, 부족한 운동 등으로 인해 심혈관 질환의 위험이 높아지고 있습니다. 이번 글에서는 심혈관 질환의 정의,
facet3.halluwon.com
고지혈증 원인 증상 음식 치료법 총정리
고지혈증 원인 증상 음식 치료법에 대해서 총 정리 해보겠습니다. 현대인에게 많이 발명하는 질환이며 식습관이 지방 위주로 이루지면서 혈액에 지방이 쌓이는 현상으로 심하면 다른 심각한 질
facet3.halluwon.com
이러한 합병증은 모든 갑상선 기능 저하증 환자에게 나타나는 것은 아닙니다. 그러나 갑상선 기능 저하증을 가진 환자는 이러한 합병증에 대한 주의가 필요하며, 의사와의 상담을 통해 적절한 관리와 치료를 받아야 합니다.
갑상선 기능 저하증 예방법
갑상선 기능 저하증(하이포갑상선증)을 완전히 예방하는 것은 어렵지만, 일부 예방적인 조치를 통해 발생 위험을 줄일 수 있습니다. 아래에는 갑상선 기능 저하증을 예방하기 위한 몇 가지 방법을 안내해 드리겠습니다:
- 규칙적인 건강 검진: 정기적으로 의사의 검진을 받아 갑상선 기능에 이상이 있는지 확인하십시오. 초기에 이상을 발견하고 적절한 조치를 취하면 더 나은 결과를 기대할 수 있습니다.
- 갑상선 건강을 유지하는 생활습관: 올바른 식단을 유지하고 충분한 운동을 하는 것이 갑상선 건강을 지키는데 도움이 됩니다. 적절한 양의 요오드를 섭취하여 갑상선 기능을 정상화시키는 것이 중요합니다.
- 영양 균형: 갑상선 기능에 영향을 주는 미네랄인 요오드와 셀레늄 등을 포함한 영양소를 충분히 섭취하는 것이 중요합니다. 식단에는 해산물, 풀무, 견과류, 곡류 등을 포함시켜 보세요.
- 스트레스 관리: 만성적인 스트레스는 갑상선 기능에 영향을 줄 수 있습니다. 명상, 요가, 규칙적인 운동 등을 통해 스트레스를 관리하고 긍정적인 심리적 상태를 유지하세요.
- 안전한 환경 조성: 환경 중독 물질에 노출되는 것을 피하고, 방사선 노출을 최소화하도록 주의하세요.
- 의사와의 상담: 가족 내에서 갑상선 기능 이상과 관련된 이전 병력이 있다면 의사와 상담하여 상속적인 위험을 평가하고 적절한 조치를 취할 수 있습니다.
- 임신 관리: 임신 중에는 갑상선 기능에 주의를 기울여야 합니다. 충분한 요오드 섭취와 정기적인 갑상선 기능 검사를통해 임신 중 갑상선 기능 이상의 발견과 관리를 할 수 있습니다.
안정적인 체중 유지: 체중이 과도하게 증가하거나 감소하는 것은 갑상선 기능에 영향을 줄 수 있으므로 안정적인 체중 유지에 주의하세요. 또한, 갑상선 기능 저하증과 같은 갑상선 이상을 예방하거나 관리하기 위해서는 의사와의 상담을 통해 개인 맞춤형 조언을 받는 것이 가장 중요합니다.
갑상선 기능 저하증 치료법
갑상선 기능 저하증(하이포갑상선증)의 치료는 환자의 증상과 갑상선 기능 검사 결과에 따라 결정됩니다. 일반적으로 갑상선 기능 저하증은 갑상선 호르몬 대체 요법을 통해 치료됩니다. 아래에는 갑상선 기능 저하증의 치료법에 대해 자세히 설명해 드리겠습니다:
- 갑상선 호르몬 대체 요법 (갑상선 호르몬 치료): 가장 일반적인 치료 방법 중 하나로, 갑상선 기능을 보완하기 위해 갑상선 호르몬을 복용하는 것입니다. 대표적인 갑상선 호르몬 대체제로는 Levothyroxine (레보티로신)이 있습니다. 이 약물은 T4 호르몬을 대체해 주어 갑상선 기능을 정상화시키고 증상을 개선합니다.
- 정기적인 모니터링: 갑상선 기능 저하증 환자들은 치료 중에도 정기적으로 의사의 지시에 따라 갑상선 기능 검사를 받아야 합니다. 이를 통해 현재 치료가 적절한지 확인하고 조절할 필요가 있는지 판단할 수 있습니다.
- 약물 복용 관리: 갑상선 호르몬 대체 요법은 환자마다 최적의 용량과 복용 시기가 다를 수 있습니다. 의사의 처방을 정확히 따르고 복용 일정을 지키는 것이 중요합니다.
- 약물 간 상호작용 확인: 갑상선 호르몬 대체 요법을 받는 동안 다른 약물과의 상호작용 가능성을 의사에게 알려주어야 합니다. 특히 다른 약물의 흡수나 효과에 영향을 줄 수 있는 경우를 주의해야 합니다.
- 임신 및 수유 중의 관리: 갑상선 기능 저하증 환자 중 임신하거나 수유 중인 경우에도 갑상선 기능의 안정성을 유지하기 위해 의사의 조언에 따라 적절한 조치를 취해야 합니다.
영양과 생활 습관: 올바른 식단과 건강한 생활 습관을 유지하여 체중을 관리하고 건강을 지키는 것이 중요합니다.
갑상선 기능 저하증 치료는 개인의 상황과 의사의 지시에 따라 달라질 수 있습니다. 의사와의 상담을 통해 적절한 치료 방법을 결정하고 지속적으로 관리하는 것이 환자의 건강을 지키는데 도움이 됩니다.
갑상선 기능 저하증 가진분에게 좋은 음식
갑상선 기능 저하증을 가진 환자들은 일반적으로 건강한 식단을 유지하고 특정 영양소를 적절히 고려하는 것이 중요합니다. 아래에는 갑상선 기능 저하증에 도움이 되는 음식과 영양소에 대한 몇 가지 예시를 제공해 드리겠습니다:
- 요오드 함유 식품: 갑상선 기능을 조절하는 주요 영양소인 요오드를 충분히 섭취하는 것이 중요합니다. 해산물(조개, 소라, 게 등), 해조류(미역, 김, 다시마 등), 요오드 부족을 보충할 수 있는 요오드 강화 소금 등을 섭취해 보세요.
- 셀레늄 함유 식품: 셀레늄은 갑상선 호르몬의 생산과 대사에 중요한 영향을 미치는 미네랄입니다. 브라질너트, 해산물, 두부, 새우, 메추리알, 참치 등을 포함한 식품을 먹어보세요.
- 비타민 D: 비타민 D는 갑상선 기능과 관련된 면역 체계 및 호르몬 균형에 영향을 미칠 수 있습니다. 우유, 요구르트, 어육류, 계란 노른자와 함께 자연적으로 햇빛을 받는 것도 중요합니다.
- 아이오딘 부족을 보충하는 식품: 갑상선 기능 저하증 환자는 아이오딘 부족을 보완할 필요가 있을 수 있습니다. 요오드
- 강화 식품, 아이오딘 함유 보충제 등을 고려해 보세요. (의사와 상담 후 결정)
- 다양한 곡물과 채소: 식이섬유와 영양소를 충분히 섭취하기 위해 다양한 곡물과 채소를 섭취하세요. 이로 인해 대사 속도와 소화 기능이 개선될 수 있습니다.
- 필수 지방산: 오메가-3 지방산을 함유한 식품 (피시오일, 아몬드, 씨앗류)을 먹는 것은 갑상선 건강에 도움이 될 수 있습니다.
- 필수 아미노산: 아미노산은 단백질의 구성 요소로 중요합니다. 단백질을 포함한 식품(닭고기, 양고기, 두부, 콩류 등)을 균형 있게 섭취해야 합니다.
- 식이 섬유: 곡물, 과일, 채소, 견과류 등에 풍부하게 함유된 식이 섬유는 소화를 촉진하고 대사 속도를 조절하는 데 도움을 줄 수 있습니다.
식사 습관을 개선하고 위에서 언급한 영양소를 고려하는 것이 갑상선 기능 저하증 환자의 건강을 유지하는 데 도움이 될 것입니다. 그러나 의사의 지시를 따르고 개인의 건강 상태와 필요에 맞게 조정하는 것이 중요합니다.
갑상선 기능 저하증 가진분에게 나쁜 음식
갑상선 기능 저하증을 가진 환자들은 특정 음식을 제한하는 것이 도움이 될 수 있습니다. 아래에는 갑상선 기능 저하증 환자들이 피해야 할 가능성이 있는 나쁜 음식 몇 가지를 제시해 드리겠습니다:
- 고열량 및 저 영양 가공식품: 높은 칼로리와 적은 영양소를 함유한 가공식품은 체중 증가 및 대사 속도 저하를 악화시킬 수 있습니다.
- 브로콜리, 양배추 및 자일리톨 함유 식품: 크루 싶어 채소인 브로콜리와 양배추, 그리고 천연 강도근제인 자일리톨은 갑상선 기능을 억제할 수 있습니다.
- 초콜릿, 커피 및 홍차: 과다한 카페인 섭취는 갑상선 기능에 부정적인 영향을 줄 수 있습니다.
- 식이 섬유가 과도한 음식: 과다한 식이 섬유 섭취는 무기물 섭취를 감소시키고 소화 장애를 악화시킬 수 있습니다.
고 지방 및 고 콜레스테롤 식품: 지나친 지방 및 콜레스테롤 함유 식품은 심혈관 건강을 악화시킬 수 있으며, 이는 갑상선 기능 저하증 환자들에게 불리할 수 있습니다. - 유당 함유 식품: 양배추와 같은 식품뿐만 아니라 과다한 유당 섭취도 갑상선 기능을 억제할 수 있습니다.
- 소금과 과도한 나트륨 함유 식품: 과도한 소금 섭취는 혈압을 상승시킬 수 있어 갑상선 기능 저하증 환자들에게는 불리할 수 있습니다.
- 자극제를 함유한 음식: 스파이시한 음식이나 자극적인 조미료가 함유된 음식은 신경 시스템에 부정적인 영향을 미칠 수 있습니다.
이러한 음식들을 피하거나 제한하는 것이 갑상선 기능 저하증 환자들의 건강을 보호하는 데 도움이 될 수 있습니다. 그러나 의사와 상담을 통해 개인적인 식습관을 조정하는 것이 중요합니다.
갑상선 기능 항진증 정의 원인 증상 예방법 치료법 좋은 음식 나쁜 음식 총정리
갑상선 기능 항진증은 갑상선에서 너무 많은 호르몬을 분비하여 신진대사가 과도하게 증가하는 상태를 말합니다. 이로 인해 심박수 상승, 체중 감소, 땀이 많이 나는 등의 증상이 나타날 수 있
facet3.halluwon.com
부정맥 이란 원인 증상 예방법 치료방법 좋은음식 나쁜음식 등 총정리
부정맥은 매우 일반적인 현상이며, 대부분은 건강한 사람들에게도 발생할 수 있습니다. 그러나 심한 부정맥은 심장 건강에 영향을 미칠 수 있으므로, 정확한 이해와 관리가 필요합니다. 이 글은
facet3.halluwon.com
동맥 경화증 원인 증상 예방법 치료법 음식 등 총정리
우리 몸의 혈관은 길과 같습니다. 하지만 그 길에도 교통 체증이 일어날 수 있습니다. 이번 글에서는 동맥경화에 대해 적겠습니다.. 어떤 원인으로 동맥이 경화되는지, 그리고 이로 인해 건강에
facet3.halluwon.com
심방세동 정의 원인 증상 예방법 치료법 좋은음식 나쁜음식 등 총정리
심방세동은 심장 상부인 심방에서 비정상적인 신호로 인해 심박 조절이 어지러워지는 심장 리듬 문제입니다. 이로 인해 심박수가 불규칙하고 빠르게 뛸 수 있어서 심장이 제대로 작동하지 않을
facet3.halluwon.com











