티스토리 뷰
오늘 건강 주제에 대해서는 동맥경화 질환에 대해 깊이 파헤쳐보고, 이 질환의 원인, 증상, 예방법, 그리고 치료법 좋은 음식에 대해 알아보겠습니다. 현대인의 건강을 위협하는 이 질환에 대한 이해를 높이고, 삶의 질을 향상하는 방법들을 알아볼 예정입니다.

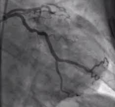
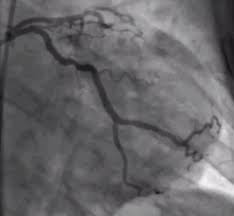
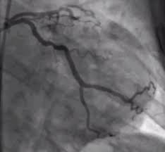
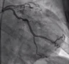
관상동맥 질환이란?
관상동맥 질환은 심장 근육으로 혈액을 공급하는 관상동맥(심장동맥)의 퇴행적인 변화로 인해 발생하는 질환의 집합을 나타냅니다. 이 질환은 주로 동맥 내벽에 지방과 칼슘이 쌓이고 염증이 발생하여 동맥이 협착되거나 막히는 상태를 말합니다. 관상동맥 질환은 주로 관상동맥경화증(관상동맥동맥경화증)과 안정형 협심증, 불안정형 협심증, 심근경색증으로 나뉩니다.
- 관상동맥경화증(관상동맥동맥경화증): 동맥벽에 지방과 콜레스테롤이 쌓이면서 동맥벽이 두터워지고 단단해지는 상태입니다. 이로 인해 혈관 내부 지름이 좁아져 혈류가 원활하게 흐르지 않을 수 있습니다.
- 안정형 협심증: 관상동맥 내의 협착이 일어나면서 심장 근육에 산소가 부족한 상태를 나타냅니다. 이때 주로 신체 활동이나 감정적인 스트레스와 관련된 상황에서 발생할 수 있습니다.
- 불안정형 협심증: 동맥벽의 염증이 심하게 발생하여 협착된 부분이 불안정한 상태에 있을 때 발생합니다. 이로 인해 협심증 증상이 갑자기 악화될 수 있으며, 심근경색으로 이어질 가능성이 있습니다.
- 심근경색증: 관상동맥 내 협착이 심해져 동맥의 혈류가 완전히 차단되면서 심근 조직이 손상되는 상태입니다. 이 상황은 심장 근육의 부분적 또는 전체적인 손상을 초래할 수 있으며, 심각한 경우 생명을 위협할 수 있습니다.
관상동맥 질환은 일반적으로 콜레스테롤, 고혈압, 당뇨병, 흡연 등의 여러 요인과 관련이 있습니다. 이러한 요인들이 동맥벽에 손상을 일으키고 염증을 유발하며, 이로 인해 지방과 칼슘이 쌓이게 되어 동맥의 협착을 초래할 수 있습니다. 이에 따라 생활 습관 개선, 신체 활동 증가, 건강한 식습관 등이 관상동맥 질환 예방과 치료에 중요한 역할을 합니다.
관상동맥 질환 원인
관상동맥 질환은 다양한 원인과 복합한 과정으로 발생하는 심혈관 질환입니다. 주로 다음과 같은 요인들이 관상동맥 질환의 발생과 발전에 영향을 미칩니다.
- 고콜레스테롤 수치: 고콜레스테롤 수치는 관상동맥 질환과 밀접한 관련이 있습니다. 높은 수치의 나쁜 콜레스테롤(LDL 콜레스테롤)이 동맥벽에 쌓여 혈관 내벽을 손상시키고 염증을 유발할 수 있습니다.
- 고혈압: 고혈압은 혈압이 지속적으로 높은 상태를 나타내는 것을 말합니다. 높은 혈압은 동맥벽에 스트레스를 가하고 손상을 유발하여 동맥경화를 촉진할 수 있습니다.
- 흡연: 니코틴과 기타 유해한 물질은 동맥벽을 손상시키고 염증을 유발하여 동맥경화를 촉진합니다. 흡연은 또한 혈관 내피세포의 기능을 저하시키고 혈전의 생성을 촉진할 수 있습니다.
- 당뇨병: 당뇨병은 고혈당 상태가 지속되는 질환으로, 혈당 수치의 상승은 동맥벽 손상과 염증을 유발하여 동맥경화를 가속화시킬 수 있습니다.
- 비만과 부족한 신체 활동: 비만은 염증을 증가시키고 대사 이상을 유발하여 관상동맥 질환의 위험을 높일 수 있습니다. 또한 신체 활동 부족은 혈액 순환이 원활하지 않게 하여 동맥 내 지방이 쌓일 가능성을 높일 수 있습니다.
- 유전적 요인: 유전적인 경향은 관상동맥 질환 발생에 영향을 줄 수 있습니다. 가족력이 있는 경우 해당 질환에 노출될 위험이 더 높을 수 있습니다.
- 스트레스와 불규칙한 생활습관: 만성적인 스트레스와 불규칙한 생활습관은 혈액 순환을 저해하고 염증을 유발하여 동맥경화의 위험을 증가시킬 수 있습니다.
이러한 요인들이 상호작용하여 관상동맥 내부에 염증을 유발하고 콜레스테롤 및 기타 물질이 쌓이면서 동맥벽이 두터워지고 협착되는 과정이 진행됩니다. 이러한 과정이 불안정한 협심증이나 심근경색과 같은 심장질환을 유발할 수 있습니다. 관상동맥 질환 예방을 위해서는 건강한 식습관, 적절한 신체 활동, 금연, 스트레스 관리 등이 중요한 역할을 합니다.
관상동맥 질환 증상
관상동맥 질환은 심장의 혈액 공급을 방해하여 심장 근육에 산소와 영양을 공급하는 능력을 감소시키는 상태로, 다양한 증상을 유발할 수 있습니다. 이러한 증상은 질환의 유형에 따라 다르며, 증상의 심각성도 상이할 수 있습니다.
- 흉통 또는 불쾌감: 관상동맥 질환의 가장 흔한 증상으로, 가슴의 압박감, 압력, 답답함, 불편함 등을 느낄 수 있습니다. 이러한 흉통은 가슴 중앙이나 왼쪽 부분에 발생하며, 목, 어깨, 팔, 턱 등으로 확산될 수 있습니다.
- 호흡곤란: 심장의 혈액 공급 부족으로 인해 심장은 적절한 혈압을 유지하기 위해 더욱 노력해야 합니다. 이로 인해 심장 근육에 산소가 부족해지며, 노력한 호흡이 필요한 상황에서 호흡곤란을 느낄 수 있습니다.
- 피로감 및 무기력함: 심장의 혈액 공급 부족으로 인해 심장 근육이 적절히 기능하지 못하면서 일상 활동이나 운동에 대한 체력이 감소될 수 있습니다.
- 불규칙한 맥박: 관상동맥 질환으로 인해 심장의 전기 활동이 영향을 받으면 심박수가 불규칙하게 변할 수 있습니다. 이는 심부전 등 심장 기능 이상과 관련될 수 있습니다.
- 불안 또는 두려움: 가슴 통증이나 불편감으로 인해 불안이나 두려움을 느낄 수 있습니다. 이는 불안정한 협심증과 관련이 있을 수 있습니다.
- 무증상: 일부 사람들은 관상동맥 질환을 가지고 있어도 아무런 증상을 느끼지 않을 수 있습니다. 이러한 경우라도 증상이 없더라도 정기적인 건강 검진을 통해 진단을 받을 수 있습니다.
관상동맥 질환은 무시해서는 안 되는 심각한 상태일 수 있으며, 증상의 심각성과 유형에 따라 적절한 의료진의 진단과 치료가 필요합니다. 만약 위와 유사한 증상을 느끼거나 관련된 우려가 있다면, 가능한 한 빨리 의료 전문가와 상담하여 정확한 진단을 받는 것이 중요합니다
관상동맥 질환 예방법
관상동맥 질환을 예방하기 위해서는 건강한 생활 습관과 의료 전문가의 조언을 따르는 것이 중요합니다. 아래에는 관상동맥 질환 예방을 위한 주요 방법들을 자세히 안내해 드리겠습니다.
1.건강한 식습관 유지:
- 과다한 포화지방과 트랜스지방을 피하고, 단일 불포화지방을 섭취하세요.
- 신선한 과일, 채소, 곡물, 고기 대신 프로세스된 식품을 최소화하고 영양가 있는 식사를 중시하세요.
- 염분 섭취량을 줄이고 식이섬유를 충분히 섭취하세요.
2. 적절한 체중 유지:
- 비만은 관상동맥 질환 위험을 증가시킬 수 있습니다. 건강한 식습관과 적절한 신체 활동을 통해 체중을 조절하세요.
3. 규칙적인 신체 활동:
- 심혈관 건강을 위해 150분 이상의 중강도 유산소 운동이나 75분 이상의 고강도 유산소 운동을 주간에 꾸준히 실시하세요.
- 걷기, 수영, 사이클링, 조깅 등의 유산소 운동과 근력 운동을 조합하여 건강한 심혈관을 유지하세요.
4. 금연:
- 흡연은 동맥을 손상시키고 동맥경화를 가속화시키는 주요 요인 중 하나입니다. 흡연을 중단하면 심혈관 건강에 긍정적인 영향을 미칠 수 있습니다.
5. 의료 전문가와 상담:
- 정기적인 건강 검진을 받아 혈압, 콜레스테롤, 혈당 수치 등을 확인하고 이상이 있는 경우 의료 전문가의 조언을 받으세요.
6. 스트레스 관리:
- 만성적인 스트레스는 심혈관 건강을 위협할 수 있습니다. 효과적인 스트레스 관리 기술을 배워 일상생활에서 스트레스를 줄이세요.
7. 안전한 약물 사용:
- 의사의 처방에 따라 약물을 사용하거나, 비타민, 영양제 등의 보충제를 사용할 때는 의료 전문가와 상담하세요.
8. 중독성 물질 제한:
- 과도한 알코올 섭취를 피하거나 제한하세요. 과도한 음주는 심혈관 건강을 악화시킬 수 있습니다.
관상동맥 질환은 생활 습관과 일상 선택이 큰 영향을 미치는 질환입니다. 위의 예방 방법들을 실천함으로써 심혈관 건강을 보호하고 관상동맥 질환의 위험을 줄일 수 있습니다. 하지만 의료 전문가의 조언과 협력이 필요하므로, 건강 관리에 있어서 의사와 함께 계획을 수립하고 실행하는 것이 중요합니다.
관상동맥 질환 치료법
관상동맥 질환의 치료법은 증상의 심각성과 질환의 유형에 따라 달라질 수 있습니다. 의료 전문가의 지도 아래에서 적절한 치료 계획을 수립하는 것이 중요합니다. 아래에는 관상동맥 질환의 주요 치료법을 자세히 안내해 드리겠습니다.
1. 생활 양식 개선
- 관상동맥 질환 예방과 치료에는 건강한 식습관과 식이 요법이 중요합니다. 과다한 포화지방과 염분을 피하고, 신선한 과일, 채소, 곡물을 섭취하세요.
2. 의약품 치료
- 혈압을 관리하기 위해 항고혈압제를 처방받을 수 있습니다.
- 콜레스테롤 수치를 조절하기 위해 스타틴과 같은 콜레스테롤 감소제를 사용할 수 있습니다.
3. 혈전 예방을 위한 약물
- 혈전 형성을 예방하기 위해 혈액을 희석시키는 항응고제나 혈소판 응집 억제제를 사용할 수 있습니다.
4. 안정형 협심증의 치료
- 심장 통증을 완화하기 위해 진통제를 사용할 수 있습니다.
- 혈액 순환을 개선하는 약물을 사용하여 협심증 증상을 완화할 수 있습니다.
5. 재관류 치료(재관류 치료법)
- 협심증 증상을 완화하거나 심장 기능을 개선하기 위해 스텐트 또는 관상동맥 우회 수술을 고려할 수 있습니다.
6. 불안정한 협심증의 치료
- 효과적인 협심증 관리를 위해 항응고제 및 항협심증 약물을 사용할 수 있습니다.
7. 심근경색증의 치료
- 급성 심근경색의 경우, 가능한 한 빨리 혈액 순환을 회복시키는 급성 심근경색 치료를 시행합니다.
- 혈전을 용해하거나 혈관 내부에 스텐트를 삽입하여 혈액 흐름을 회복시키는 병원 내 조치를 적용할 수 있습니다.
8. 재활 및 건강한 생활 유지
- 심장 이벤트 후, 심장 재활 프로그램을 통해 신체 활동 능력을 회복하고 건강한 습관을 유지하세요.
관상동맥 질환의 치료는 개인의 상태와 질환의 심각성에 따라 다를 수 있습니다. 의료 전문가와 협력하여 적절한 치료 방법을 결정하고 치료 계획을 수립하는 것이 중요합니다. 또한 의사의 지시에 따라 약물을 정확하게 복용하고 주기적인 의료 검진을 받아 질환의 진행을 모니터링하십시오.
관상동맥 질환 예방을 위한 건강한 음식
관상동맥 질환 예방을 위해 건강한 식습관을 유지하는 것이 중요합니다. 아래에는 관상동맥 질환 예방을 위한 좋은 음식을 자세히 안내해 드리겠습니다.
1. 과일과 채소
- 염분 함량이 낮아 심혈관 건강을 지원하는 과일과 채소를 섭취하세요.
- 당근, 브로콜리, 시금치, 토마토, 파프리카 등은 비타민, 미네랄, 식이섬유가 풍부하여 심혈관 건강에 도움을 줍니다.
2. 전체 곡물:
- 균형 잡힌 식단에는 전체 곡물 제품이 포함되어야 합니다. 통곡물은 식이섬유와 영양소가 풍부하며 혈당 조절을 돕습니다.
3. 건강한 지방
- 단일 불포화지방이나 다불포화지방이 풍부한 식품을 선택하세요. 녹차, 엑스트라 버진 올리브 오일, 아보카도 등에서 이러한 지방을 찾을 수 있습니다.
4. 고단백 식품:
- 식물성 단백질인 콩, 렌즈콩, 검은콩, 콩고기, 두부 등은 동물성 단백질보다 심혈관 건강에 유리한 선택입니다.
5. 해산물:
- 오메가-3 지방산이 풍부한 해산물은 심혈관 건강을 촉진하고 염증을 줄여줄 수 있습니다. 연어, 마스, 고등어 등을 선택하세요.
6. 견과류:
- 호두, 아몬드, 땅콩, 캐슈너트 등의 견과류는 건강한 지방과 식이섬유를 공급하며 심혈관 건강에 도움을 줍니다.
7. 씨앗 및 열매:
- 화이토케미컬과 식이섬유가 풍부한 씨앗 및 열매를 섭취하세요. 살구, 건포도, 건망고, 참깨 등이 이에 해당합니다.
8. 저지방 유제품:
- 유제품을 선택할 때 저지방 또는 무지방 버전을 선택하세요. 칼슘 및 단백질 공급이 가능한 동시에 지방 함량을 낮출 수 있습니다.
9. 식이섬유:
- 곡물, 과일, 채소, 콩, 견과류 등에 풍부한 식이섬유를 섭취하여 콜레스테롤 수치를 조절하고 소화를 돕습니다.
10. 미역류 및 해조류:
- 해조류에는 식이섬유와 미네랄이 풍부하며, 심혈관 건강에 도움을 줄 수 있습니다.
건강한 식습관을 유지하고 위에 언급된 식품을 포함하여 다양한 음식을 섭취하십시오. 이러한 식품들은 관상동맥 질환 예방을 위한 필수적인 영양소와 항산화물질을 제공합니다. 하지만 의료 전문가의 조언을 받아서 개인의 건강 상태와 요구에 따라 적절한 식단을 구성하는 것이 중요합니다.
관상동맥 질환을 악화시킬 수 있는 나쁜 음식
관상동맥 질환 예방을 위해 나쁜 음식을 피하는 것이 중요합니다. 아래에는 관상동맥 질환을 악화시킬 수 있는 나쁜 음식을 자세히 안내해 드리겠습니다.
1. 고지방 음식:
- 트랜스지방과 포화지방이 풍부한 음식을 피하세요. 프렌치프라이, 패스트푸드, 고기의 피부 등이 이에 해당합니다.
2. 과잉 섭취한 염분:
- 과도한 염분 섭취는 고혈압을 촉진하고 심혈관 건강을 악화시킬 수 있습니다. 가공식품, 소금이 많이 든 음식을 피하세요.
3. 단순당과 고당도 음식:
- 과도한 설탕 섭취는 비만, 당뇨병 등을 유발하며 심혈관 건강을 위협할 수 있습니다. 과일 주스, 단과자류, 설탕이 많이 든 음식을 제한하세요.
4. 포화지방과 콜레스테롤이 많은 음식:
- 동물 지방이 풍부한 육류, 특히 피부 있는 육류, 프로세스 된 육류 제품은 콜레스테롤 수치를 높일 수 있습니다.
5. 과도한 알코올 섭취:
- 과도한 음주는 고혈압, 비만, 심장질환과 연결될 수 있습니다. 알코올 섭취를 제한하거나 적절한 양을 지켜주세요.
6. 고칼로리, 저영양 가공식품:
- 가공식품 중 저 영양이면서 높은 칼로리를 제공하는 음식을 피하세요. 스낵, 쿠키, 시리얼 등의 포장된 음식을 지양하세요.
7. 고나트륨 음식:
- 고나트륨 음식은 체내의 물 분비를 증가시키고 혈압을 상승시킬 수 있습니다. 가공 육류, 소스, 조미료가 많이 사용된 음식을 피하세요.
8. 흡연과 음식:
- 흡연은 동맥을 손상시키고 관상동맥 질환 위험을 높일 수 있습니다. 음식과 함께 흡연을 피하십시오.
9. 과도한 카페인 섭취:
- 카페인은 심장 박동을 증가시킬 수 있으며, 너무 많은 섭취는 심혈관 건강을 악화시킬 수 있습니다.
이러한 나쁜 음식들을 피하고, 대신 위에서 언급한 관상동맥 질환 예방을 위한 건강한 음식들을 섭취하는 것이 중요합니다. 건강한 식습관과 의료 전문가의 조언을 따르면서 심혈관 건강을 적극적으로 관리하세요.











