티스토리 뷰
모야모야병은 중추신경계 질환으로, 근육 약화와 운동 장애를 유발합니다. 이 질환은 신경세포 간의 연락을 끊어 효과적인 운동 제어를 방해하며, 일상생활의 동작을 어렵게 만들 수 있습니다. 환자들은 일상 활동을 수행하는 데 어려움을 겪으며, 종종 보조기구와 재활치료가 필요합니다. 모야모야병은 현재 치료법이 없으며, 연구가 진행 중이긴 합니다만 그래도 정의 원인 증상 진단과 검사 치료 예방법 경고/합병증 식이요법/생활가이드에 대해서 자세히 적겠습니다.

모야모야병 정의
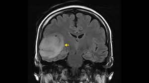
"모야모야병"은 뇌 혈관의 특별한 형태의 폐쇄를 특징으로 하는 희귀한 뇌혈관 질환입니다. 이 질환은 일본어로 "모야모야"라는 단어에서 이름을 따왔는데, 이 단어는 "흐릿하게 나아가는 연무"나 "연무처럼 흐릿하게 보이는 형상"을 의미합니다. 이 질환은 뇌혈관의 협착이나 폐쇄로 인해 뇌에 충분한 혈류가 도달하지 못하게 되며, 이로 인해 뇌 조직에 산소와 영양분을 공급하는데 문제가 발생할 수 있습니다.
모야모야병의 주요 특징과 특성은 다음과 같습니다:
1. 뇌혈관의 협착 및 폐쇄: 이 질환은 주로 내경동맥(Internal Carotid Artery)과 그 분지인 뇌혈관에서 혈류의 방해를 일으키는 협착과 폐쇄가 발생합니다. 이로 인해 뇌 혈류가 제한되고 혈액의 흐름이 느려지게 됩니다.
2. 증상: 모야모야병의 증상은 뇌 혈류가 부족하거나 혈액 뇌로의 공급이 불규칙할 때 나타납니다. 이로 인해 두통, 어지러움, 말이 더뎌지거나 이상해짐, 쇼티앙(무감각), 무력함, 신경학적 증상 등이 나타날 수 있습니다. 중대한 경우, 뇌졸중이나 심한 두통을 겪을 수 있습니다.
3. 진단: 모야모야병은 신체 검사, 혈액검사, 신경영상학적 검사(CT 스캔, MRI, 혈관조영술 등)를 통해 진단됩니다.
4. 치료: 이 질환의 치료 목표는 뇌 혈류를 개선하고 뇌혈관의 협착을 개선하는 것입니다. 이를 위해 약물 치료, 혈관 조영술, 혈관 이식 수술 등이 사용됩니다.
모야모야병은 희귀한 질병이며, 정확한 원인은 아직 밝혀진 바가 없습니다. 이 질환은 주로 유전적인 요인과 관련이 있을 수 있으며, 아시아인과 특히 일본인 사이에서 더 흔하게 발생한다고 알려져 있습니다. 따라서 증상이나 의심되는 경우, 신속한 의료 진료와 관리가 중요합니다.
모야모야병 원인
"모야모야병" 또는 Moyamoya disease의 정확한 원인은 아직까지 완전히 밝혀진 것은 아니지만, 연구자들은 다음과 같은 요인들이 이 질환의 발생과 관련될 수 있다고 여겨지고 있습니다:
1. 유전적 요인: 가족력이 있는 환자들에서 모야모야병이 더 흔하게 발견되며, 유전적 요인이 이 질환의 발생과 관련될 수 있다고 생각됩니다. 특히 일부 유전적 변이들이 모야모야병 발병 위험을 증가시킬 수 있습니다.
2. 혈관 구조 이상: 일부 연구에서는 모야모야병 환자들의 뇌혈관 구조에 이상이 있을 수 있다고 제안하고 있습니다. 이상한 혈관 구조는 혈액 흐름에 문제를 일으키고 혈관 벽의 손상을 초래할 수 있습니다.
3. 염증 및 자동면역 반응: 일부 연구는 모야모야병 환자들의 혈관 벽에서 염증과 자동면역 반응이 증가할 수 있다고 제안하고 있습니다. 이러한 과정이 혈관 벽 손상과 혈전 형성에 연결될 수 있습니다.
4. 환경 요인: 아시아인과 특히 일본인에서 모야모야병의 발병률이 더 높다는 관찰이 있으며, 환경 요인이 이 질환과 관련될 수 있다고 생각됩니다. 그러나 정확한 환경 요인은 아직 명확히 밝혀지지 않았습니다.
이러한 요인들은 모야모야병의 발생과 발병 위험을 증가시킬 수 있지만, 정확한 원인은 여전히 연구 중에 있으며, 많은 부분이 미지수입니다. 이 질환에 대한 연구는 계속 진행 중이며, 환자의 치료와 예방에 대한 이해를 높이는 데 도움이 될 것으로 기대됩니다. 모야모야병을 진단받거나 이에 대해 더 많은 정보를 원하는 경우, 실제 의료 전문가와 상담하는 것이 중요합니다.
모야모야병 증상
모야모야병(Moyamoya disease)은 뇌 혈관에 혈액의 흐름이 점차적으로 감소하고 혈관이 좁아지거나 막히는 특징적인 증상을 가지고 있습니다. 이 질환의 증상은 혈류가 뇌로 충분히 공급되지 않아 뇌 조직에 부족한 산소와 영양분을 제공할 수 없을 때 나타납니다. 모야모야병의 주요 증상은 다음과 같습니다:
1. 두통(Headache): 다양한 정도의 두통이 발생할 수 있으며, 이 통증은 특히 활동 시나 물리적 노동 후에 더 심해질 수 있습니다.
2. 어지러움(Dizziness): 어지러움, 실신 또는 미달하는 느낌이 발생할 수 있습니다.
3. 언어 및 운동 장애: 환자들은 말이 더뎌지거나 불분명해질 수 있으며, 운동 장애가 나타날 수 있습니다.
4. 시력 저하(Visual Impairment): 시력 저하, 시야의 좁아짐 또는 시야 손실이 나타날 수 있습니다.
5. 편두통 또는 뇌졸중(Stroke): 심각한 경우, 모야모야병은 뇌졸중의 원인이 될 수 있으며, 이는 급성 신경학적 증상을 초래할 수 있습니다. 뇌졸중은 쪽 무력증, 말이 더뎌지거나 무분별한 움직임 등을 포함할 수 있습니다.
6. 손가락이나 발가락의 흐릿함 또는 무감각: 손가락이나 발가락에 흐릿함, 무감각 또는 이상한 감각이 나타날 수 있습니다.
7. 경련(Seizures): 일부 환자는 경련을 발생시킬 수 있습니다.
8. 인지 및 행동 변화: 모야모야병은 인지 기능과 행동에 영향을 미칠 수 있으며, 인지 기능 저하 또는 행동 변화가 나타날 수 있습니다.
9. 두개내압증상(Symptoms of Increased Intracranial Pressure): 뇌 혈류가 충분하지 않을 때 두 개내압이 증가하고, 이로 인해 구토, 두통, 현기증 등의 증상이 나타날 수 있습니다.
이러한 증상은 모야모야병 환자 간에 다양하게 나타날 수 있으며, 중요한 점은 이러한 증상이 발견되면 즉시 의료 전문가의 진단과 치료를 받아야 한다는 것입니다. 모야모야병은 치료 가능한 질환으로, 조기 진단과 치료를 통해 증상을 완화하고 질병의 진행을 억제할 수 있습니다.
모야모야병 진단과 검사
모야모야병(Moyamoya disease)의 진단과 검사는 환자의 증상과 의료 전문가의 판단을 기반으로 이루어집니다. 다음은 모야모야병을 진단하고 평가하는 주요 방법과 검사입니다:
1. 신체 검사(Physical Examination): 의사는 환자의 증상을 평가하고 신체검사를 수행합니다. 이 과정에서 두통, 어지러움, 신경학적 이상, 시력 문제 등을 확인할 수 있습니다.
2. 혈액검사(Blood Tests): 혈액검사는 다른 질환을 제외하고 모야모야병을 진단하는데 도움을 줄 수 있습니다. 예를 들어, 혈액응고 검사 및 혈당 수준 검사를 수행할 수 있습니다.
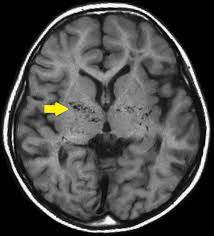
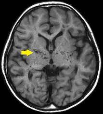
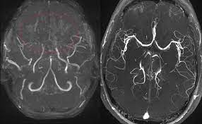
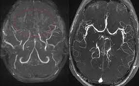
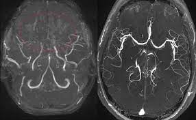
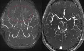
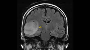
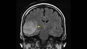
3. 신경영상검사(Neuroimaging): 뇌의 혈관 상태를 평가하기 위해 다양한 신경영상 검사가 사용됩니다. 주로 사용되는 검사에는 다음이 포함됩니다:
- CT 스캔(Computed Tomography): CT 스캔을 통해 뇌 혈관의 형태와 혈류를 시각화할 수 있습니다.
- MRI(Magnetic Resonance Imaging): MRI를 사용하여 뇌혈관을 자세하게 평가하고 혈류 문제를 확인할 수 있습니다.
- 혈관조영술(Cerebral Angiography): 혈관조영술은 혈관 내부 구조를 자세하게 시각화하기 위해 사용됩니다. 이 절차는 모야모야병을 진단하는 가장 확실한 방법 중 하나입니다.
4. 양방향경험전도측정 (Transcranial Doppler Ultrasound): 이 검사는 뇌 혈류 속도와 흐름을 측정하는 데 사용됩니다.
5. 뇌 생체 검사(Brain Biopsy): 때로는 모야모야병을 진단하기 위해 뇌 생체검사가 수행될 수 있지만, 이는 드물게 사용되는 절차입니다.
진단이 확립된 후, 모야모야병의 심각성과 환자의 개별적인 상황에 따라 치료 계획이 수립됩니다. 모야모야병은 치료 가능한 질환으로, 치료 목표는 뇌 혈류를 개선하고 뇌혈관의 협착을 완화하여 증상을 완화하고 뇌 조직에 충분한 혈류를 공급하는 것입니다. 치료 계획은 개별적으로 맞추어지며, 약물 치료, 혈관 조영술, 혈관 이식 수술 등이 포함될 수 있습니다. 환자는 전문 의료진과 함께 모야모야병을 관리하고 치료받아야 합니다.
모야모야병 치료법
모야모야병(Moyamoya disease)의 치료는 주로 뇌 혈류를 개선하고 뇌 혈관의 협착을 완화하여 증상을 완화하고 뇌 조직에 충분한 혈류를 공급하는 것을 목표로 합니다. 치료 계획은 환자의 증상, 질병의 심각성, 뇌혈관의 상태 등을 고려하여 맞추어지며, 다음과 같은 치료 옵션들이 고려될 수 있습니다:
1. 약물 치료:
- 혈액 희소제(antiplatelet agents): 환자의 혈액이 덜 응고되도록 하는 약물로 혈전 형성을 예방할 수 있습니다. 아스피린(Aspirin)이나 산소반응성 혈소판 억제제(ADP 억제제)가 포함됩니다.
- 혈관 확장제(Vasodilators): 혈관을 확장시켜 혈류를 향상시키는데 사용될 수 있습니다.
2. 혈관 조영술 (Cerebral Angioplasty): 혈관 조영술은 혈관 내부의 협착을 개선하기 위해 사용됩니다. 이 절차에서는 혈관 내부에 스텐트(Stent)를 배치할 수도 있습니다.
3. 혈관 이식 수술 (Bypass Surgery): 혈관 이식 수술은 모야모야병으로 인해 혈류가 차단된 부분을 우회하여 뇌 조직에 혈류를 공급하기 위해 사용됩니다. 이러한 수술은 중증의 모야모야병 환자에게 특히 효과적일 수 있습니다.
4. 자연 치료(Natural History): 치료를 받지 않고 자연 경과를 지켜보는 것도 모야모야병 환자들에게 고려될 수 있습니다. 이 옵션은 증상이 경미하고 안정적인 경우 또는 환자의 상태와 선호도에 따라 결정될 수 있습니다.
치료 방향은 각 환자의 상황에 따라 다를 수 있으며, 전문 의료진과의 상담을 통해 최적의 치료 계획을 결정해야 합니다. 또한 치료 후에도 정기적인 평가와 추적이 필요하며, 치료 후에도 항시 의사와 협력하여 모야모야병을 관리하는 것이 중요합니다. 또한 모야모야병은 가족력이 있는 경우 다른 가족 구성원들도 주의를 기울여야 할 수 있으므로 가족력을 고려하여 관리해야 합니다.
모야모야병 경과와 합병증
모야모야병(Moyamoya disease)은 뇌혈관의 협착 및 폐쇄로 인해 뇌 혈류가 점차 감소하는 질환으로, 치료를 받지 않거나 적절한 관리를 하지 않을 경우 여러 가지 합병증이 발생할 수 있습니다. 모야모야병의 경과와 합병증은 다음과 같이 나타날 수 있습니다:
1. 뇌졸중(Stroke): 모야모야병은 뇌 혈류가 부족하거나 혈액의 흐름이 불규칙할 때 뇌졸중의 위험을 증가시킵니다. 이러한 뇌졸중은 급성 신경학적 증상을 초래하며, 심각한 경우 환자의 기능을 영구적으로 손상시킬 수 있습니다.
2. 신경학적 이상: 모야모야병은 신경학적 이상을 초래할 수 있으며, 이러한 이상은 언어, 운동, 감각, 시각 및 인지 능력에 영향을 미칠 수 있습니다.
3. 정신 건강 문제: 심각한 모야모야병 환자들은 우울증, 불안, 정신 건강 문제에 노출될 수 있으며, 치료와 관리가 필요할 수 있습니다.
4. 두개내압두 개내압 증가: 모야모야병으로 인해 뇌 혈류가 충분하지 않을 때 두 개내압이 증가할 수 있으며, 이로 인해 두통, 구토, 현기증 등의 증상이 나타날 수 있습니다.
5. 발작: 일부 모야모야병 환자들은 경련 또는 발작을 경험할 수 있습니다.
6. 혈액학적 합병증: 혈액 희소제 및 항응고제를 사용하는 환자들은 혈액학적 합병증, 예를 들어 출혈이나 혈전 형성의 위험이 있을 수 있습니다.
7. 합병증 경고: 모야모야병의 합병증은 초기 단계에서 주의 깊게 관찰되어야 합니다. 뇌 혈류가 감소하고 증상이 나타나면 즉시 의료 전문가의 진료와 평가를 받아야 합니다.
모야모야병 환자는 정기적인 의료 모니터링과 치료를 받아야 하며, 합병증을 예방하고 증상을 완화하기 위해 치료 계획을 따라야 합니다. 또한 모야모야병은 가족력이 있는 경우 다른 가족 구성원들도 주의를 기울여야 할 수 있으므로 가족력을 고려하여 관리하는 것이 중요합니다.
모야모야 예방법
모야모야병은 현재까지 그 원인을 명확히 알지 못하며, 특별한 예방법은 없습니다. 하지만 이 질환을 조기에 발견하고 적절한 치료를 받는 것이 합병증을 예방하고 증상을 관리하는데 중요합니다. 다음은 모야모야병에 대한 예방적 접근과 주의사항에 대한 일반적인 지침입니다:
1. 정기적인 의료 검진: 가족력에 모야모야병이나 혈관 질환과 관련된 경우 또는 모야모야병과 유사한 증상이 나타나면 정기적인 의료 검진을 받아야 합니다.
2. 증상 조기 파악: 모야모야병의 초기 증상을 감지하고 즉시 의료 전문가와 상담하세요. 두통, 어지러움, 시각 문제, 말이 더뎌짐, 인지 문제 등의 증상이 나타날 경우 의사의 진료를 받아야 합니다.
3. 의사의 처방에 따르기: 모야모야병 환자의 치료 계획은 의료 전문가에 의해 제공되며, 처방된 약물을 정확히 복용하고 의사의 권고사항을 따라야 합니다.
4. 건강한 생활 습관: 건강한 식습관 유지, 정기적인 운동, 스트레스 관리 및 금연 등이 모든 혈관 질환을 예방하는 데 도움이 될 수 있습니다.
5. 가족력 확인: 모야모야병과 같은 유전적 요인을 갖고 있다면, 가족력을 확인하고 가족 구성원들이 해당 질환에 대해 의식하도록 돕는 것이 중요합니다.
6. 의료 전문가와의 협력: 모야모야병은 특수한 질환으로, 의료 전문가와의 협력이 필요합니다. 증상이나 건강 상태에 대한 의심이 있을 경우, 반드시 의사와 상담하고 진단 및 치료를 받아야 합니다.
반드시 기억해야 할 점은 예방법이 모든 질환을 완전히 예방할 수는 없다는 것입니다. 모야모야병은 희귀한 질환 중 하나로, 무작위로 발생할 수 있으며, 정확한 원인은 아직 알려지지 않았습니다. 따라서 증상이 나타나면 신속한 의료 진료와 관리가 필요하며, 이를 통해 합병증의 위험을 최소화할 수 있습니다.
모야모야병 식이요법과 생활가이드
모야모야병은 뇌 혈관에 영향을 미치는 질환으로, 특별한 식이요법은 없습니다. 그러나 건강한 식습관과 생활 습관을 유지하여 모야모야병의 증상을 완화하고 일반적인 건강을 지키는 것이 중요합니다. 다음은 모야모야병 환자와 관리자를 위한 식이요법 및 생활가이드라인입니다:
1. 건강한 식습관:
- 채소와 과일 섭취: 신선한 채소와 과일은 항산화제와 영양소를 풍부하게 제공하므로 신체의 전반적인 건강을 촉진합니다.
- 식이섬유: 곡물, 견과류 및 채소에서 충분한 식이섬유를 섭취하여 소화 건강을 유지합니다.
- 건강한 지방: 포화 지방보다는 단일 또는 다중 불포화 지방이 풍부한 식품을 선택합니다. 물고기, 올리브 오일 및 아보카도 등의 지방이 건강에 도움이 될 수 있습니다.
- 염분 제한: 과도한 염분 섭취는 혈압을 높일 수 있으므로 염분 섭취량을 제한합니다.
2. 신체 활동:
- 신체 활동은 건강한 혈류를 유지하고 심혈관 건강을 촉진하는 데 도움이 될 수 있습니다. 의사와 상의한 후 적절한 운동 프로그램을 개발하세요.
3. 스트레스 관리:
- 스트레스는 혈압을 높일 수 있으므로, 스트레스 관리 기술을 습관화하고 심리적 안정을 유지하세요.
4. 정기적인 의료 관리:
- 모야모야병 환자는 의사의 권고에 따라 정기적인 의료 검진과 관리를 받아야 합니다.
5. 의약품 및 치료:
- 의사의 처방에 따라 약물 치료 및 기타 치료 계획을 엄격하게 따릅니다.
6. 안전: 모야모야병 증상이 뇌 기능에 영향을 미칠 수 있으므로, 운전 또는 위험한 활동 시 조심하세요.
7. 가족 지원: 환자와 가족은 모야모야병 관리와 관련된 어려움을 함께 이겨내기 위해 서로의 지원과 이해를 공유해야 합니다.
모야모야병은 복잡한 질환으로, 치료 및 관리는 개별적으로 맞추어져야 합니다. 따라서 모야모야병 환자와 그 가족은 전문 의료진과 협력하여 최상의 관리 계획을 개발하고 따르는 것이 중요합니다.
함께보면 좋은 글
공황장애 정의 원인 증상 진단 및 검사 치료 총정리
공황장애는 예기치 못한 공포와 불안을 유발하는 정신질환으로, 갑작스러운 공격적인 증상과 심장박동 증가, 숨쉬기 곤란, 현실 분리감 등을 경험할 수 있습니다. 이러한 공포 공격은 일상생활
facet3.halluwon.com
조현병 정의 원인 증상 진단/검사 치료 경과/합병증에대해서 총정리
조현병은 정상적인 현실 감각과 사고를 혼동시키는 정신 질환으로, 환자들은 현실과 상상을 혼동할 때가 있습니다. 이로 인해 환자들은 환상, 말하는 데 무리가 있는 경우, 사람들과 소통에 어
facet3.halluwon.com











