티스토리 뷰
조현병은 정상적인 현실 감각과 사고를 혼동시키는 정신 질환으로, 환자들은 현실과 상상을 혼동할 때가 있습니다. 이로 인해 환자들은 환상, 말하는 데 무리가 있는 경우, 사람들과 소통에 어려움을 겪는 등의 증상을 보일 수 있습니다. 조현병은 종류가 다양하며, 조기 발견과 적절한 치료가 필요합니다. 조현병 정의 원인 증상 진단/검사 치료 경과/합병증에 대해서 총정리하겠습니다.

조현병 정의
조현병, 또는 정신분열병(Schizophrenia),는 심각한 정신질환 중 하나로, 현실과의 연결이 끊어져 현실을 왜곡하며, 생각, 감정, 행동의 이상적인 패턴을 보이는 질환입니다. 조현병은 종종 초기 발병하며, 만성적인 병세를 보이는 경우가 많습니다. 다음은 조현병에 대한 주요 특징과 정의를 설명한 것입니다.
1. 어떤 징후와 증상을 보일까요?
- 어떤 현실적인 상황이나 사건과 관련 없는 환각(Hallucination)으로, 주로 청각적 환각(다른 사람들의 목소리를 듣는다고 느끼는 경우가 많음)과 시각적 환각(비현실적인 것을 보는 것으로 생각하는 경우)이 있습니다.
- 사고의 혼돈 및 파편화로 인한 이상한 사고 패턴, 즉 사고의 해체(disorganized thinking)와 언어의 이상 현상(disorganized speech)이 나타납니다.
- 무력감, 의욕 상실, 사회적 박탈감과 같은 어떤 정신증상도 포함될 수 있습니다.
- 기분 이상, 긴장감, 무기력 및 감정 표현의 제한 등과 같은 정서적 증상도 나타날 수 있습니다.
2. 언제 발생하나요?
- 대개 조현병은 청소년과 초기 성인기에 발병합니다.
- 초기 발병 기간은 중요한 생활 변화나 스트레스 상황과 연관될 수 있습니다.
3. 원인은 무엇인가요?
- 조현병의 원인은 명확히 알려져 있지 않지만, 유전적 요소, 뇌 구조 및 화학 물질의 이상, 환경적 스트레스 요소와 관련이 있을 것으로 여겨집니다.
4. 치료와 관리는 어떻게 이루어지나요?
- 조현병은 치료 가능한 질환이며, 주로 약물 치료와 정신건강 상담을 통해 관리됩니다.
- 항정신병 약물은 주로 사용되며, 환자의 증상과 상태에 따라 조절됩니다.
- 정신건강 전문가와의 상담 및 사회적 지원도 중요한 부분입니다.
- 가족 지원과 교육도 환자의 회복과 안정에 도움을 줄 수 있습니다.
조현병은 치료를 통해 증상을 효과적으로 관리하고, 환자의 삶의 질을 향상할 수 있는 질환입니다. 그러나 조현병은 복잡하고 다양한 특징을 가지고 있으므로, 정확한 진단과 개별화된 치료 계획이 필요합니다. 환자와 그 가족은 이러한 과정에서 전문가의 도움을 받는 것이 중요합니다.
조현병 원인
조현병의 원인은 여러 가지 요소가 상호작용하는 복합한 과정으로 인해 발생한다고 여겨집니다. 아직 정확한 원인은 밝혀지지 않았지만, 다음과 같은 요인들이 조현병 발병과 관련될 수 있습니다:
1. 유전적 요인:
- 가족력: 가족 내에서 조현병 환자가 있는 경우, 해당 질환에 대한 위험이 증가할 수 있습니다. 유전적 요인은 조현병 발병에 중요한 역할을 합니다.
2. 뇌 구조 및 기능 이상:
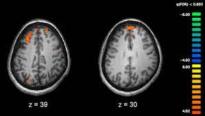
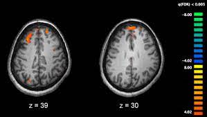
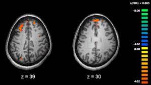
- 뇌의 구조 및 기능에 이상이 있는 것으로 보입니다. 조현병 환자들의 뇌 스캔 결과에서 뇌 부위의 크기나 활동에서 이상을 발견할 수 있습니다.
3. 화학 물질의 불균형:
- 조현병과 관련된 화학 물질인 도파민과 글루타메이트의 불균형이 발견됩니다. 특히, 도파민이 지나치게 활성화되거나 작용할 때 조현병 증상이 나타날 수 있습니다.
4. 출생 및 육아 환경:
- 출생 과정에서의 어려움, 조산, 조기 출생 및 출생 중 뇌 손상 등이 조현병 발병 위험을 증가시킬 수 있습니다.
- 가정에서의 어려운 환경, 감정적인 변동, 무정적인 가정 분위기, 사회적 고립 등도 조현병 발병과 관련될 수 있습니다.
5. 스트레스:
- 급격한 스트레스나 정신적인 부담은 조현병 발병 혹은 재발 위험을 높일 수 있습니다.
6. 약물 및 알코올 남용:
- 일부 약물 및 알코올 남용은 조현병 증상을 악화시킬 수 있으며, 발병 위험을 높일 수 있습니다.
조현병의 원인은 복잡하며 개별적인 경우마다 다를 수 있습니다. 또한 이러한 요인들 간의 상호작용도 복잡하게 작용합니다. 따라서 조현병은 다양한 원인의 조합에 따라 발생하며, 정확한 원인을 특정하기 어렵습니다. 연구는 여전히 진행 중이며, 조현병의 원인을 더 잘 이해하고 효과적인 예방과 치료 전략을 개발하기 위해 계속 진행되고 있습니다.
조현병 증상
조현병은 다양한 증상을 가질 수 있는 복잡한 정신질환으로, 증상은 환자마다 다르고 다양한 형태로 나타날 수 있습니다. 조현병의 주요 증상은 다음과 같습니다:
1. 양극성 환각(Hallucinations):
- 청각적 환각: 환자가 다른 사람의 목소리를 듣거나 대화를 듣는 것으로 생각합니다. 이 목소리는 실제로는 존재하지 않습니다.
- 시각적 환각: 환자가 비현실적인 것을 보는 것으로 생각합니다. 이는 실제로는 존재하지 않는 것들입니다.
2. 사고 장애(Thought Disorder):
- 사고의 해체(Disorganized Thinking): 환자의 사고가 비논리적이고 해체되어 있으며, 논리나 일상적인 관련성이 부족합니다.
- 언어의 이상 현상(Disorganized Speech): 환자가 말할 때 무관한 단어나 문장을 혼합하여 사용하거나, 다른 사람이 이해하기 어려운 말을 합니다.
3. 혼란된 현실 감지:
- 환자는 현실을 왜곡하고, 자신이 특별하거나 통제 불능 상태에 있다고 믿을 수 있습니다. 이러한 현실 왜곡은 환자의 사고와 행동을 지배합니다.
4. 음성 내용 이상 현상(Delusions):
- 음성 내용 이상 현상은 비현실적이며 고정된 신념을 나타냅니다. 예를 들어, 환자는 자신이 특별한 미션이나 중요한 사람으로 생각할 수 있습니다.
5. 정서적 이상(Emotional Disturbances):
- 환자는 감정을 표현하는 데 어려움을 겪을 수 있으며, 감정의 범위가 협소할 수 있습니다. 때로는 무감정한 상태가 나타날 수도 있습니다.
6. 사회적 및 기능적 손실:
- 환자는 사회적 관계를 유지하거나 기능적인 일상생활 활동을 수행하는 데 어려움을 겪을 수 있습니다. 사회적 고립과 기능적 장애가 일상생활에서 문제를 일으킬 수 있습니다.
조현병은 이러한 증상 중 일부 또는 모든 증상이 나타날 수 있으며, 그중 일부는 경미한 경우에서 중대한 경우까지 다를 수 있습니다. 또한 환자의 증상은 시기에 따라 변할 수 있으며, 조현병의 진행도 다를 수 있습니다. 조현병은 정확한 진단과 적절한 치료를 통해 증상을 관리하고 환자의 삶의 질을 향상할 수 있습니다. 따라서 증상을 감지하거나 조현병에 대한 의심이 있다면, 정신건강 전문가와 상담하는 것이 중요합니다.
조현병 진단 및 검사
조현병은 정신건강 전문가에 의해 정확하게 진단되어야 합니다. 조현병의 진단은 증상의 관찰, 환자의 이력 및 정신건강 상태 평가를 포함하는 종합적인 과정을 거칩니다. 다음은 조현병 진단과 관련된 주요 요소와 검사 방법입니다:
1. 증상 평가:
- 정신건강 전문가는 환자의 증상을 주의 깊게 평가합니다. 이러한 증상은 환각, 사고 장애, 음성 내용 이상 현상, 정서적 이상 등을 포함합니다. 증상의 지속성, 빈도, 심각성을 고려합니다.
2. 환자 이력:
- 환자와 가족의 의료 및 정신건강 이력을 수집합니다. 가족력, 과거 진단 이력, 치료 경험 등이 중요한 정보입니다.
3. 물리적 검사:
- 정신건강 전문가는 환자의 신체 건강 상태를 평가합니다. 이는 다른 신체 질환으로 인한 증상을 제외하기 위해 필요한 단계입니다.
4. 정신검사:
- 정신건강 전문가는 환자의 정신상태를 평가하고 정신과적 증상을 확인하기 위해 정신검사를 수행합니다.
5. DSM-5 기준:
- DSM-5(Diagnostic and Statistical Manual of Mental Disorders, 5th Edition)는 정신질환의 진단 기준과 분류에 관한 국제적인 표준을 제공합니다. 조현병의 진단은 DSM-5 기준을 따라 이루어집니다.
6. 신경생리학적 및 신경이미징 검사:
- 경우에 따라 뇌신경생리학적 검사, 신경영상학(예: 뇌 MRI 또는 CT 스캔) 등의 추가적인 검사가 필요할 수 있습니다. 이러한 검사는 다른 신체 질환을 배제하거나 뇌 구조 및 기능 이상을 확인하기 위해 시행될 수 있습니다.
7. 랩 검사:
- 혈액 검사나 약물 스크리닝을 통해 기저 질환, 약물 남용 등을 확인할 수 있습니다.
조현병 진단은 다른 정신질환과 구분하기 위해 정확한 평가와 검사가 필요합니다. 또한 조현병은 다른 신체 질환이나 약물 남용과 관련된 증상과 혼동될 수 있으므로, 정신건강 전문가의 지도 아래에서 진단을 받는 것이 중요합니다. 만약 조현병에 대한 의심이 있다면, 정신건강 전문가와 상담하고 진단 및 치료 옵션에 대한 정보를 얻는 것이 중요합니다.
조현병 치료법
조현병은 장기적인 치료와 지원이 필요한 만성적인 정신질환으로, 증상을 효과적으로 관리하기 위해 다양한 치료 접근법이 사용됩니다. 조현병 치료의 목표는 증상의 완화, 재발 예방, 환자의 일상생활 기능 향상, 사회 및 직업적 관계 개선 등을 포함합니다. 다음은 조현병 치료에 대한 주요 접근법과 치료 요소입니다:
1. 항정신병 약물 치료:
- 대부분의 조현병 환자는 항정신병 약물을 처방받게 됩니다. 이러한 약물은 도파민 및 세로토닌 수용체에 작용하여 증상을 관리하고 예방하는 데 도움을 줍니다.
- 일반적으로 사용되는 항정신병 약물에는 제피아, 린더달, 퀴티아피늄, 아리피프라졸 등이 포함됩니다.
2. 정신건강 상담 및 지원:
- 정신건강 상담은 환자의 심리적, 사회적, 직업적 요소에 대한 지원을 제공합니다. 환자는 심리치료 또는 대화 치료를 통해 증상 관리, 문제 해결 및 스트레스 관리를 배울 수 있습니다.
3. 가족 지원과 교육:
- 가족 구성원들은 조현병 환자를 지원하고 이해하는 데 도움을 받을 필요가 있습니다. 가족 교육 및 지원 프로그램은 가족들이 환자와의 관계를 개선하고 환경을 안정화하는 데 도움을 줄 수 있습니다.
4. 사회 재활 및 기술 훈련:
- 환자는 일상생활 기능을 향상하기 위해 사회 재활 서비스와 기술 훈련을 받을 수 있습니다. 이러한 프로그램은 환자가 직업을 유지하거나 일상 활동을 수행하는 데 도움을 줍니다.
5. 예방적 치료:
- 환자와 치료 전문가는 재발을 예방하기 위한 계획을 수립합니다. 약물 치료 및 정신건강 상담을 통해 조현병의 재발 가능성을 줄이는 데 중점을 둡니다.
6. 약물 부작용 관리:
- 항정신병 약물은 부작용을 일으킬 수 있으므로 이러한 부작용을 관리하고, 필요한 경우 약물을 조절하거나 대체하는 것이 중요합니다.
조현병 치료는 개별적으로 맞추어져야 하며, 환자의 증상과 상태에 따라 조절됩니다. 또한 정기적인 의료 모니터링과 치료 팀과의 협력이 필요합니다. 조현병 치료는 장기적이며 종종 수명 동안 계속될 수 있으며, 환자의 삶의 질을 향상하는 데 중요한 역할을 합니다.
조현병 경과와 합병증
조현병(정신분열병)은 만성적이고 심각한 정신질환으로, 적절한 치료와 관리 없이는 다양한 합병증이 발생할 수 있습니다. 아래는 조현병의 경과와 가능한 합병증에 대한 자세한 설명입니다:
1. 급성 조현병 에피소드:
- 조현병은 급성 에피소드로 시작할 수 있으며, 이 기간 동안 환자는 현실 왜곡, 환각, 사고 혼란 및 이상한 행동을 경험할 수 있습니다.
- 이러한 에피소드는 치료로 완화될 수 있지만, 증상이 완전히 사라지지 않을 수 있으며, 지속적인 관리가 필요합니다.
2. 만성 조현병:
- 조현병은 만성적인 질환이며, 긴 기간 동안 지속되는 증상을 포함합니다.
- 환자는 다양한 합병증에 노출될 수 있으며, 치료와 지원을 통해 증상을 관리하고 합병증을 예방하려는 노력이 필요합니다.
3. 합병증 및 가능한 경과:
가. 사회적 고립과 대인관계 문제:
- 조현병 증상으로 인해 환자는 사회적 고립과 대인관계 문제를 겪을 수 있으며, 이로 인해 우울증 및 불안장애 등의 정신건강 문제가 발생할 수 있습니다.
나. 무직업 상태:
- 조현병 환자는 직업적 문제를 겪을 수 있으며, 실직이나 직장에서의 어려움이 발생할 수 있습니다.
다. 자살 위험:
- 조현병 환자는 자살 및 자해 위험에 노출될 수 있으며, 정신건강 전문가와의 지속적인 평가와 관리가 필요합니다.
라. 신체 건강 문제:
- 조현병 환자는 건강하지 못한 식습관, 운동 부족 및 흡연과 같은 건강 위험 요인을 가질 수 있으며, 이로 인해 비만, 당뇨병, 심혈관 질환 등의 신체 건강 문제가 발생할 수 있습니다.
마. 약물 부작용:
- 항정신병 약물은 부작용을 일으킬 수 있으며, 이로 인해 대사 이상, 운동 부작용, 혈압 변화 등이 발생할 수 있습니다.
조현병은 개별적인 환자에게 다르게 나타날 수 있으며, 합병증도 환자마다 다를 수 있습니다. 그러나 증상의 관리, 사회적 지원, 정신건강 상담, 건강한 생활 방식 및 정기적인 의료 모니터링은 합병증 예방 및 경과 개선에 중요한 역할을 합니다. 환자와 가족은 의료 전문가와 협력하여 조현병 관리 및 합병증 예방을 위해 노력해야 합니다.
망상장애 관련 질병
조현병과 관련된 주요 질병 중 일부는 다음과 같습니다. 이러한 질병은 종종 정신질환과 관련이 있거나, 조현병 환자들이 노출될 수 있는 합병증으로 알려져 있습니다:
1. 우울장애 (Depressive Disorders):
- 우울장애는 조현병 환자 중 일부에서 동반될 수 있습니다. 조현병 환자는 우울증을 겪을 가능성이 더 높으며, 이는 조현병 증상, 사회적 고립 및 기능적 문제로 인해 발생할 수 있습니다.
2. 불안장애 (Anxiety Disorders):
- 불안장애는 조현병 환자 중에서도 흔히 발생합니다. 조현병 증상, 사회적 불안 또는 생활의 스트레스로 인해 불안장애 증상이 나타날 수 있습니다.
3. 자살 및 자해 (Suicidal Behavior and Self-Harm):
- 조현병 환자는 자살 및 자해의 위험에 노출될 수 있습니다. 정신건강 전문가와의 평가와 치료가 중요하며, 가족과 친구들의 지원도 필요합니다.
4. 알코올 및 약물 남용 (Substance Abuse and Addiction):
- 일부 조현병 환자는 알코올 또는 약물 남용 문제를 겪을 수 있으며, 이는 조현병 증상을 악화시키고 합병증을 유발할 수 있습니다.
5. 당뇨병 (Diabetes):
- 항정신병 약물 중 일부는 대사 이상과 관련이 있을 수 있으며, 조현병 환자들은 당뇨병에 노출될 수 있습니다.
당뇨 증상 떨어트리기위한 좋은음식 나쁜음식 운동 알아보기
당뇨는 국내에서 사망률이 무려 6위이며 원인으로는 사회에서 일어나는 과한 스트레스와 과식으로 인한 비만이 주요인으로 볼 수 있으면 임신과 노화로 인해서도 발생합니다. 그래서 당뇨 증상
facet3.halluwon.com
당뇨를 가지신 분에게 좋은 운동 방법 BEST5와 개선효과 이유
다음은 당뇨 환자에게 좋은 운동 방법과 이유에 대해 알아보겠습니다. 스쾃, 런지, 푸시업, 플랭크, 스텝 업 등의 운동을 활용하여 당뇨 건강을 개선해 보시길 바랍니다. 그전에 본인 체질에 맞
facet3.halluwon.com
6. 비만 (Obesity):
- 약물 부작용, 무기력 및 운동 부족으로 인해 조현병 환자 중 일부는 비만에 노출될 수 있습니다.
비만 정의 원인 유발하는 질병 치료법 음식등을 총정리
비만 정의 원인유발하는 질별 치료법 등을 총정리하겠습니다. 비만 요인이 많은데 그중에서도 과식과 나이 들면서 기능 저하 등을 여러 가지 사유로 비만이 되는 경우가 많습니다. 문제는 비만
facet3.halluwon.com
7. 심혈관 질환 (Cardiovascular Diseases):
- 일부 조현병 환자는 심혈관 질환과 관련된 요인에 노출될 수 있으며, 건강한 생활 방식 및 의료 모니터링이 필요할 수 있습니다.
심혈관 질환 정의 원인 증상 예방법 치료법 좋은 음식 나쁜 음식
우리의 심장은 삶의 엔진입니다. 하지만 현대 사회에서는 스트레스, 불규칙한 식습관, 부족한 운동 등으로 인해 심혈관 질환의 위험이 높아지고 있습니다. 이번 글에서는 심혈관 질환의 정의,
facet3.halluwon.com
8. 대사 이상 (Metabolic Disorders):
- 항정신병 약물은 대사 이상을 유발할 수 있으며, 환자는 혈압 변화, 혈당 조절 문제 등을 경험할 수 있습니다.
9. 흡연 (Smoking):
- 조현병 환자 중 일부는 흡연을 시도하거나 지속적으로 흡연하는 경향이 있으며, 흡연으로 인한 건강 문제가 발생할 수 있습니다.
조현병 환자는 이러한 질병 및 합병증에 노출될 수 있으므로 정기적인 의료 모니터링과 치료, 건강한 생활 방식, 정신건강 상담, 사회적 지원 및 가족의 지원이 필요합니다. 또한 조현병 환자들은 항정신병 약물을 복용하는 동안 부작용 및 의약품 관리에도 주의를 기울여야 합니다.
공황장애 정의 원인 증상 진단 및 검사 치료 총정리
공황장애는 예기치 못한 공포와 불안을 유발하는 정신질환으로, 갑작스러운 공격적인 증상과 심장박동 증가, 숨쉬기 곤란, 현실 분리감 등을 경험할 수 있습니다. 이러한 공포 공격은 일상생활
facet3.halluwon.com
주의력결핍 과잉행동장애 정의 원인 증상 진단과검사 치료 경과 생활가이드 총정리
주의력결핍 과잉행동장애(ADHD)는 주로 어린이와 청소년에게 나타나는 신경학적 질환으로, 주의력 부족, 과잉 활동성, 임펄시브한 특징을 포함합니다. 이상적으로, 집중력이 떨어지고 자제력이
facet3.halluwon.com











