티스토리 뷰
충수는 소화 시스템의 중요한 부분 중 하나로, 소장과 결장 사이에 위치한 작은 장기입니다. 이 작은 장기는 식품 소화 및 영양 흡수에 기여하며, 특히 수분 및 전처리된 음식물을 소장으로 보내는 역할을 합니다 충추에 염증이 생긴 것이 충추염인데. 이런 염증인 충수염의 대해서 정의 원인 증상 검사/진단 치료 예방법 경과 합병증 식이요법에 대해서 자세히 적어 보겠습니다.

충수염 정의
충수염(Caecitis 또는 Cecitis)은 소장의 일부인 충수(Cecum)의 염증을 가리키는 의학적 용어입니다. 충수는 소장의 첫 번째 부분으로, 소장과 결장 사이에 위치한 작은 장기입니다. 충수염은 주로 충수 부위에 염증이나 변화가 발생할 때 나타납니다.
충수염의 정확한 원인은 다양할 수 있으며, 대부분은 세균 감염, 바이러스 감염, 염증성 장질환 등으로 인해 발생할 수 있습니다. 이 염증 상태는 주로 복부 통증, 설사, 구토, 고열, 복부 불쾌감 등의 증상을 유발할 수 있습니다.
치료는 충수염의 원인과 심각성에 따라 다를 수 있으며, 가벼운 경우에는 안정과 휴식으로 회복이 가능할 수도 있습니다. 그러나 중증의 경우 항생제 치료나 수술이 필요할 수 있습니다. 충수염이 의심된다면 의료 전문가와 상담하고 진단을 받아야 하며, 적절한 치료 계획을 수립할 수 있습니다.
충수염 원인
충수염의 원인은 다양할 수 있으며, 주로 충수 부위에 염증이나 변화를 일으키는 여러 요인들이 연관됩니다. 아래에는 주요한 충수염 원인 몇 가지를 설명합니다:
1. 세균 감염: 세균이 충수 부위로 침입하여 염증을 일으킬 수 있습니다. 이러한 세균 감염은 대개 소장 내부의 세균이 충수로 이동하거나 복부 다른 부위의 감염이 퍼져서 발생할 수 있습니다.
2. 바이러스 감염: 바이러스도 충수염의 원인이 될 수 있습니다. 특히, 바이러스성 염증 질환이나 위장관 감염이 충수 부위로 확산할 때 충수염이 발생할 수 있습니다.
3. 기타 염증성 장질환: 염증성 장질환 중 일부인 크론병(Crohn's disease)과 궤양성 대장염(ulcerative colitis)과 같은 장질환은 소장 및 충수 부위에 염증을 유발할 수 있으며, 이로 인해 충수염이 발생할 수 있습니다.
4. 이물질 혹은 종양: 가끔 충수 부위에 이물질(예: 장내에서 이동하는 작은 물체)이나 종양이 발견되어 충수염을 유발할 수 있습니다.
5. 혈류 문제: 충수 부위의 혈류가 일시적으로 차단되면 충수염이 발생할 수 있습니다. 이는 충수 부위의 혈액 공급이 감소하거나 차단되는 혈관 문제로 인해 발생할 수 있습니다.
6. 기타 원인: 충수염은 위에 나열된 것 외에도 다른 요인들로 인해 발생할 수 있으며, 각각의 경우에 따라 증상과 치료 방법이 달라질 수 있습니다.
충수염의 원인은 다양하며, 정확한 원인은 진단을 통해 확인되어야 합니다. 따라서 충수염 증상이나 의심이 있다면 의료 전문가와 상담하고 검사를 받아야 합니다.
충수염 증상
충수염의 증상은 다양하며, 그 심각성에 따라 다를 수 있습니다. 아래는 충수염의 주요 증상 몇 가지를 설명합니다:
1. 복부 통증: 충수염의 가장 흔한 증상 중 하나는 복부 통증입니다. 이 통증은 일반적으로 충수 부위에 위치하며, 통증의 정도는 가벼울 수도 있고 중등도 또는 심할 수도 있습니다. 통증은 종종 운동이나 복부를 누르거나 만질 때 더 심해질 수 있습니다.
2. 설사: 충수염은 종종 설사를 유발합니다. 설사는 급성이거나 만성적일 수 있으며, 대변이 부드럽고 가벼운 것이 특징입니다.
3. 복부 불쾌감: 복부 부분에서 불쾌한 감각이나 팽팽한 느낌을 경험할 수 있습니다.
4. 구토: 구토는 충수염의 중증 증상 중 하나일 수 있습니다. 특히 복부 통증과 함께 발생할 때 주의해야 합니다.
5. 고열: 충수염이 심각한 경우, 고열이 발생할 수 있습니다. 고열은 38°C(100.4°F) 이상의 체온 상승을 의미합니다.
6. 기타 증상: 충수염은 복부 부분에서 부음 소리(물 먹을 때의 소리), 복부 팽팽함, 체중 감소, 소화 장애 등 다른 소화 관련 증상을 유발할 수도 있습니다.
충수염의 증상은 다른 소화 관련 질환과 유사할 수 있으므로, 증상이 나타나면 의료 전문가와 상담하고 진단을 받아야 합니다. 정확한 진단을 받고 적절한 치료를 시작하는 것이 중요합니다.
충수염 검사와 진단
충수염을 진단하려면 의료 전문가가 환자의 증상, 병력 및 신체검사 결과를 종합적으로 고려하고 다양한 진단 절차를 수행할 수 있습니다. 아래는 충수염의 검사와 진단에 관한 자세한 내용입니다:
1. 병력 청취: 의료 전문가는 환자의 증상과 병력을 자세히 파악합니다. 언제부터 증상이 발생했는지, 어떤 증상이 나타나는지, 통증의 정도와 위치, 다른 소화 관련 증상 등을 물어봅니다.
2. 신체 검사: 의료 전문가는 복부를 신체 검사하며, 복부 부위의 부음 소리, 복부 팽팽함, 복부 통증의 위치 등을 확인합니다. 이를 통해 충수염과 관련된 신체적인 소견을 파악합니다.
3. 혈액 검사: 혈액 검사는 염증 여부 및 감염의 유무를 확인하는 데 도움이 됩니다. 염증 표지자인 C-반응성 단백질(CRP) 및 백혈구 수치가 이상적일 경우 충수염이 의심될 수 있습니다.
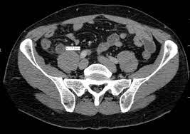
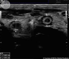
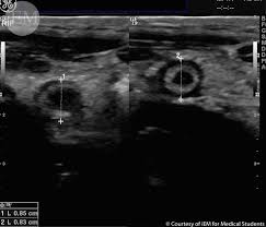
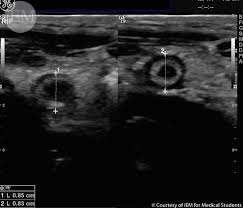
4. 복부 초음파: 복부 초음파 검사는 충수 부위의 염증 또는 다른 구조적인 이상을 확인하는 데 도움이 됩니다.
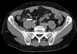
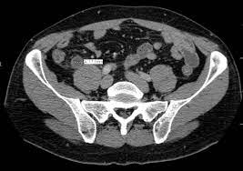
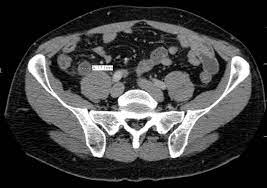
5. 컴퓨터 단층 촬영(CT 스캔): CT 스캔은 소장 및 충수 부위의 상세한 영상을 제공하므로 충수염 진단에 유용합니다.
6. 내시경 검사: 대부분의 경우, 내시경 검사(대장 내시경 또는 결장 내시경)가 필요할 수 있습니다. 내시경은 진단뿐만 아니라 직접 조직 샘플을 채취하여 병변을 확인하는 데 사용됩니다.
충수염을 진단하려면 종합적인 평가와 여러 가지 검사가 필요하며, 진단은 의료 전문가의 판단에 의존합니다. 증상이나 의심되는 경우 의료 전문가와 상담하여 필요한 검사와 진단을 받아야 합니다. 정확한 진단은 적절한 치료 계획을 수립하는 데 중요합니다.
충수염 치료법
충수염의 치료법은 해당 질환의 원인, 심각성, 환자의 건강 상태에 따라 다를 수 있습니다. 충수염의 가벼운 증상의 경우 일반적으로 치료 없이도 회복될 수 있지만, 중등도나 심각한 증상을 보이는 경우 의료 전문가의 지도 아래에서 치료해야 합니다. 아래는 충수염의 치료 방법에 대한 자세한 설명입니다:
1. 항생제 치료: 만약 충수염이 세균 감염으로 인해 발생한 것으로 의심된다면, 의료 전문가는 항생제를 처방할 수 있습니다. 항생제는 세균 감염을 효과적으로 치료하는 데 사용됩니다.
2. 통증 관리: 복부 통증 및 불편함을 관리하기 위해 진통제나 항염증 약물을 사용할 수 있습니다. 그러나 진통제나 약물 사용에 대한 조언은 의료 전문가와 상의해야 합니다.
3. 안정과 휴식: 충수염의 경증 증상의 경우 휴식을 취하고 소화 시스템을 안정화하기 위해 가벼운 식사를 섭취하는 것이 도움이 될 수 있습니다. 환자는 수분을 충분히 섭취하여 탈수를 방지해야 합니다.
4. 수술: 심각한 경우, 특히 충수 부분에 심각한 염증, 파열, 충수의 부분적 또는 전체적인 제거가 필요한 경우 수술이 필요할 수 있습니다. 이러한 수술은 급성 충수염의 경우에 특히 고려됩니다.
치료 방법은 환자의 상태와 진단 결과에 따라 다를 수 있으며, 항생제, 통증 관리, 휴식 및 수술 중 하나 또는 그 조합이 필요할 수 있습니다. 따라서 충수염 증상이 나타나면 의료 전문가와 상담하고 적절한 치료 방법을 결정하도록 해야 합니다. 치료는 증상의 심각성과 원인에 따라 조절되며, 의료 전문가의 지도 하에 진행되어야 합니다.
충수염 예방법
충수염을 예방하기 위해 몇 가지 조치를 취할 수 있습니다. 아래에는 충수염을 예방하는 데 도움이 될 수 있는 방법들을 자세히 설명하겠습니다:
1. 규칙적이고 건강한 식습관:
- 과다한 지방, 설탕, 고섬유 음식을 피하고, 신선한 과일, 야채, 곡물, 단백질을 균형 있게 섭취하세요.
- 식사를 너무 빠르게 먹거나 과식하지 않도록 주의하십시오.
- 충분한 수분을 섭취하여 소화 과정을 원활하게 유지하세요.
2. 정기적인 운동:
- 정기적인 운동은 소화를 촉진하고 장 건강을 유지하는 데 도움이 됩니다.
3. 건강한 체중 유지:
- 비만은 소화 문제를 유발할 수 있으므로 건강한 체중을 유지하는 것이 중요합니다.
4. 스트레스 관리:
- 스트레스는 소화 문제를 악화시킬 수 있으므로 스트레스 관리 기술을 배우고 실천하세요.
5. 항생제 사용 조심:
- 항생제를 무분별하게 사용하지 마세요. 의사의 처방에 따라 사용해야 합니다.
6. 손 위생:
- 손을 깨끗이 씻고 위생적인 습관을 유지하여 세균 감염을 예방하세요.
7. 알레르기 관리:
- 알레르기나 식품 민감성이 있는 경우 해당 식품을 피하고 관리하세요.
8. 병력 확인:
- 염증성 장질환과 관련된 가족 병력이 있는 경우, 해당 질환에 대한 주의를 기울이고 정기적인 검진을 받으세요.
9. 음식물 안전:
- 식중독을 예방하기 위해 식품을 안전하게 조리하고 보관하세요.
10. 의사와의 상담:
- 만약 소화 관련 문제나 충수염과 관련된 증상이 있다면, 의사와 상담하여 적절한 조치와 검사를 받으세요.
충수염을 예방하는 가장 좋은 방법은 건강한 생활습관을 유지하고 소화 시스템을 적절히 관리하는 것입니다. 위의 조언을 따르면 충수염 발병 위험을 줄일 수 있습니다. 하지만 증상이 나타나면 반드시 의료 전문가와 상담하여 적절한 진단과 치료를 받아야 합니다.
충수염 식이요법
충수염 환자를 위한 식이요법은 병세의 심각성과 개별적인 환자의 필요에 따라 다를 수 있으며, 의료 전문가와 상담하여 적절한 식이요법을 결정해야 합니다. 그러나 일반적으로 충수염 환자를 위한 고려해야 할 식이요법 원칙은 다음과 같습니다:
1. 고섬유 식품 섭취:
- 식이섬유는 소화를 돕고 변비를 예방하는 데 도움이 됩니다. 과일, 야채, 곡물, 견과류 등의 고섬유 식품을 섭취하세요.
2. 가벼운 식사:
- 대량의 음식을 한 번에 먹지 않고, 작은 식사를 여러 번 섭취하는 것이 도움이 될 수 있습니다.
3. 유제품 조절:
- 유제품이 충수염 증상을 악화시킬 수 있으므로, 유당 불내성이 있는 경우 유제품을 피하는 것이 좋습니다.
4. 고지방 식품 피하기:
- 지방이 많이 든 음식은 소화를 더 어렵게 할 수 있으므로, 고지방 식품을 제한하세요.
5. 식사 시 물과 함께:
- 식사할 때 충분한 물을 마시는 것이 소화에 도움이 됩니다.
6. 식품 민감성 주의:
- 어떤 음식이 증상을 악화시키는지 관찰하고, 개별적인 식품 민감성에 주의하세요.
7. 알레르기 관리:
- 음식 알레르기가 있는 경우 해당 식품을 피하고, 음식물 민감성을 관리하세요.
8. 의료 전문가와의 상담:
- 충수염 식이요법은 환자마다 다를 수 있으므로, 의사 또는 영양사와의 상담을 통해 개별적인 식이요법을 계획하세요.
9. 음식 안전 유지:
- 음식물 조리 및 보관을 위한 적절한 위생 수칙을 준수하세요.
충수염 식이요법은 환자의 증상과 개인적인 요구에 따라 맞추어져야 합니다. 위의 지침은 일반적인 원칙을 제공하며, 식사 계획은 의료 전문가와 함께 결정해야 합니다. 충수염 환자의 식이요법은 특별한 신경을 기울여 계획되어야 하므로 의료 전문가의 조언을 따르는 것이 중요합니다.
갑상선 기능 항진증 정의 원인 증상 예방법 치료법 좋은 음식 나쁜 음식 총정리
갑상선 기능 항진증은 갑상선에서 너무 많은 호르몬을 분비하여 신진대사가 과도하게 증가하는 상태를 말합니다. 이로 인해 심박수 상승, 체중 감소, 땀이 많이 나는 등의 증상이 나타날 수 있
facet3.halluwon.com
갑상선 기능 저하증 정의 원인 증상 예방법 치료법 좋은 음식 나쁜 음식 총정리
갑상선 기능 저하증은 갑상선이 충분한 호르몬을 생성하지 못해 신체 대사율이 느려지는 상황을 말합니다. 이로 인해 피로, 체중 증가, 두통 등의 증상이 나타날 수 있습니다 이런 이유로 갑상
facet3.halluwon.com
햄스트링 통증 원인 증상 치료법 강화운동 스트레칭 총정리
스포츠 뉴스에서 운동선수들 부상 소식을 접하면서 햄스트링 부상을 많이 입었다고 보도가 되고 있었고 일반인들에게도 이 부분을 부상입습니다. 그래서 이참에 햄스트링 통증과 치료법 강화
facet3.halluwon.com
대퇴사두근 통증 원인 증상 치료법 운동 총정리
운동선수 중 특히 축구 선수들이 대퇴사두근 부상에 많이 놓여 있는 듯합니다. 최근에도 이강인 선수도 여기에 부상 입었고요. 그래소 대퇴사두근 원인 통증 증상 치료법 운동에 대해서 총정리
facet3.halluwon.com











