티스토리 뷰
치주염은 많은 사람들이 경험하는 고질적인 구강 건강 문제 중 하나입니다. 이 글에서는 치주염이 무엇인지, 그 원인과 증상은 무엇인지, 그리고 어떻게 예방하고 치료할 수 있는지에 대해 알아보겠습니다. 입안 건강을 유지하고 미래에 치과 문제를 예방하기 위해서 글을 적습니다.

치주염 정의
치주염은 구강 내에서 발생하는 치아 지지 조직의 염증성 질환으로, 주로 잇몸 주위 조직을 침범합니다. 치주염은 치아와 치주 사이에 형성된 주머니에서 세균과 염증이 발생하여 치아 주변 조직을 손상시키는 질환입니다.
이러한 주머니는 치아와 잇몸 사이의 작은 공간으로, 구강 위생을 제대로 관리하지 않거나 세균의 쌓임이 발생할 경우 형성됩니다. 이 세균이 주머니 내에서 번식하면서 염증을 일으키며, 이로 인해 잇몸 조직이 붓고 출혈할 수 있으며, 치아 주변 조직의 파괴가 진행됩니다.
치주염은 다양한 심각도와 형태로 나타날 수 있으며, 초기 단계에서는 치주염(gingivitis)으로 시작하여 무치주 염(non-periodontitis)과 치주낭(치주주머니, periodontal pocket)의 형성으로 진행됩니다. 만약 적절한 치료와 관리가 이루어지지 않으면 치주염은 치아를 지지하는 뼈까지 파괴할 수 있으며, 치아 손실의 주요 원인 중 하나가 됩니다.
치주염은 전체 구강 건강에 영향을 미치며, 심지어 다른 기관 및 시스템 질환과 관련될 수도 있습니다. 그러므로 구강 위생을 철저히 관리하고 정기적인 치과 검진을 받는 것이 중요합니다. 치주염을 조기에 발견하고 치료하면 치아와 구강 건강을 보호하고 전체 건강을 개선하는 데 도움이 됩니다.
치주염 원인
치주염(Periodontitis)은 다양한 원인에 의해 발생하는 치아 주변 조직의 염증성 질환입니다. 아래에 치주염의 주요 원인을 자세히 설명해 드리겠습니다:
미흡한 구강 위생: 가장 흔한 치주염 원인 중 하나는 치아 주변의 세균이 쌓이고 치아와 잇몸 사이의 주머니에 형성되는 것입니다. 충분한 칫솔질과 치실 사용 없이 세균이 무제한 번식할 수 있으며, 이로 인해 염증이 발생합니다.
흡연: 담배 사용은 치주염 발병 위험을 높입니다. 담배 연기에는 세균 성장을 촉진하고 면역 체계의 반응을 억제하는 성분이 포함되어 있습니다. 따라서 흡연은 구강 내 염증을 악화시키는데 기여합니다.
유전적 요인: 가족력 역시 치주염 발병 위험을 높일 수 있습니다. 어떤 사람들은 유전적으로 치주염에 더 취약하며, 구강 위생을 철저히 관리해도 발병할 수 있습니다.
스트레스: 스트레스는 면역 체계를 약화시켜 구강 내 염증에 민감하게 반응하게 할 수 있습니다. 스트레스 관리가 중요합니다.
기타 건강 상태: 당뇨병, 면역 체계 이상, 감염성 질환 등 다른 건강 상태가 치주염 발생 위험을 높일 수 있습니다.
약물 복용: 일부 약물은 치주염을 유발할 수 있습니다. 예를 들어, 항생제, 항우울제, 항고혈압 약 등이 포함됩니다.
치아 비정상성: 치아 간격이 너무 좁거나 치아의 비정상적인 위치는 치주염을 발생시킬 수 있는 세균의 쌓임을 촉진할 수 있습니다.
치주염은 위의 요인들의 복합적인 작용으로 발생할 수 있으며, 이러한 요인들을 최소화하고 구강 위생 습관을 철저히 관리함으로써 예방할 수 있습니다. 정기적인 치과 검진과 치주염 초기 단계에서의 치료는 중요합니다.
치주염 증상
치주염(Periodontitis)은 입안 건강에 영향을 미치는 질환으로, 다양한 증상을 보일 수 있습니다. 아래에 치주염의 주요 증상을 자세히 설명해 드리겠습니다:
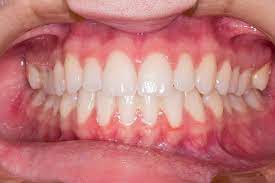
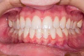
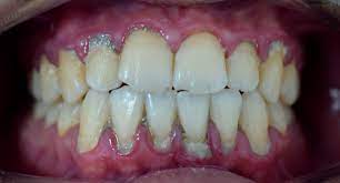
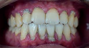
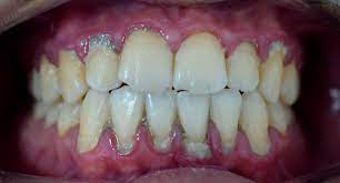
1. 잇몸 출혈: 가장 흔한 치주염 초기 증상 중 하나는 잇몸 출혈입니다. 칫솔질, 치실 사용, 또는 딱딱한 음식을 먹을 때 잇몸이 출혈할 수 있습니다. 잇몸 출혈은 염증으로 인해 잇몸 조직이 약화되고 혈관이 더 가시적으로 되기 때문에 발생합니다.
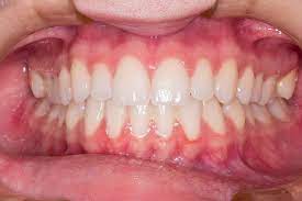
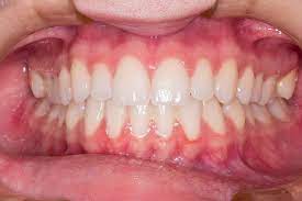
2. 치아 주위 붓기: 치주염이 진행되면 잇몸 주위 조직이 붓게 됩니다. 이로 인해 잇몸이 붓고 부풀어오르며 거의 항상 충혈된 상태를 유지합니다.
3. 치아 민감도: 치주염이 치아 주변 조직의 손상을 초래할 수 있으며, 이로 인해 민감도가 증가합니다. 냉수나 뜨거운 음식을 먹거나, 단단한 식품을 먹을 때 통증이 발생할 수 있습니다.
4. 치아 이동 및 흔들림: 치주염이 진행되면 치아 주변 조직의 파괴로 인해 치아가 이동하거나 흔들릴 수 있습니다. 이는 치아의 안정성을 잃게 하고 치아의 높은 품질을 손상시킬 수 있습니다.
5. 치주주머니 형성: 치주염은 치주주머니(치주낭)라고 불리는 작은 공간을 형성할 수 있습니다. 이 주머니는 치아와 잇몸 사이에 형성되며 세균이 모이고 번식하기 적합한 환경을 제공합니다.
6. 구강 내 부패 냄새: 치주염이 심각한 경우, 치주주머니 내에 있는 세균이 구강 내에서 냄새를 일으킬 수 있습니다. 이는 입김이 부패한 냄새가 나는 것을 의미합니다.
치주염의 증상은 조직의 염증과 치아 주변 조직의 파괴로 인해 발생하며, 증상의 심각성은 질환의 진행 정도에 따라 다를 수 있습니다. 치주염 증상이 나타난다면, 치과 의사와 상담하여 적절한 치료 계획을 수립하고 예방 조치를 취하는 것이 중요합니다.
치주염 진단과 검사
치주염(Periodontitis)을 진단하고 검사하는 과정은 치과 전문가에 의해 수행되며 다양한 절차와 도구를 사용합니다. 아래에 치주염 진단과 검사에 대해 자세히 설명하겠습니다:
1. 환자 기록 및 증상 평가: 치주염 진단은 환자의 의료 기록을 확인하고, 현재의 증상과 과거의 구강 건강 관련 이력을 수집하는 것으로 시작합니다. 환자가 어떤 증상을 경험하고 있는지에 대한 정보를 제공하고, 민감도, 출혈, 부풀어 오름, 통증 등을 평가합니다.
2. 치아 및 잇몸 검사: 치과 의사는 환자의 치아와 잇몸을 시각적으로 검사합니다. 이 과정에서 치과 거울과 탐진기(프로브)를 사용하여 치아 주위 잇몸의 충혈, 부풀음, 치아 이동 및 치주주머니의 형성 여부를 확인합니다.
3. 치주주머니 측정: 치주염의 진행 정도를 판단하기 위해 치주주머니의 깊이를 측정합니다. 탐진기를 사용하여 치주주머니의 깊이를 측정하고, 이것은 치주염의 정도를 판단하는 중요한 지표 중 하나입니다. 정상적인 치주주머니의 깊이는 3 밀리미터 미만이며, 치주염이 진행되면 깊이가 증가합니다.
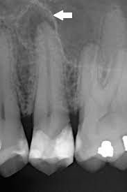
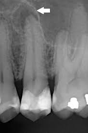
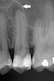
4. X-레이 검사: 치주염 진단에는 치아 주변 뼈의 손상 정도를 평가하기 위해 X-레이 검사가 사용될 수 있습니다. 이를 통해 의사는 뼈 손상이 어느 정도인지 확인하고 치주염의 정확한 진행 정도를 평가할 수 있습니다.
5. 세균 검사: 일부 치과에서는 세균 검사를 통해 치주염의 원인 세균 종류와 민감도를 확인하기도 합니다. 이 정보는 특정 항생제 치료의 효과를 결정하는 데 도움이 됩니다.
치주염의 진단과 검사는 정확한 평가를 위해 치과 전문가에 의해 수행되어야 합니다. 검사 결과에 따라 적절한 치료 계획이 수립되며, 초기 진단과 치료는 치주염의 심각성을 줄이고 구강 건강을 보호하는 데 중요합니다. 따라서 정기적인 치과 검진이 권장됩니다.
치주염 치료법
치주염(Periodontitis)의 치료법은 진행 정도, 환자의 건강 상태 및 다른 개인적인 요인에 따라 달라질 수 있습니다. 그러나 일반적으로 사용되는 치주염 치료법의 주요 요소들을 아래에 자세히 설명하겠습니다:
1. 치아 청소 및 교정: 치주염의 초기 단계에서는 치아 주변의 치아 덮개(치아 상부에 형성된 덮개)와 치아 주변에 형성된 치주주머니의 치료를 중점적으로 진행합니다. 이를 위해 다음과 같은 치아 청소 및 교정 절차가 사용됩니다:
- 치아 청소 (Scaling): 치주주머니 내에 쌓인 치아 덮개와 치아 주변의 세균을 제거하기 위해 치과 의사 또는 치과 위생사가 특수한 치아 청소 도구로 치주주머니를 청소합니다.
- 치아 광택 (Root Planing): 치아 주변 뿌리 표면을 매끈하게 다듬어 세균이 재발생하기 어렵게 만듭니다.
2. 약물 치료: 치주염의 심각한 경우에는 항생제나 치주주머니에 항균 약물을 적용하여 세균의 성장을 억제하거나 치주 주변의 염증을 줄이는 데 도움을 줄 수 있습니다. 치과 의사가 환자의 상태에 따라 적절한 약물 치료를 결정합니다.
3. 수술적 치료: 치주염이 심각한 경우 또는 치주주머니가 깊게 형성된 경우 수술적 치료가 필요할 수 있습니다. 일반적인 수술적 치료 옵션으로는 다음이 포함됩니다:
- 치조성 기초 정합 수술 (Flap Surgery): 치주 주머니를 열고 깨끗하게 정리한 후 다시 덮어주는 수술로, 치주염을 치료하고 치주 주머니의 깊이를 감소시킵니다.
- 치아 이식 수술 (Graft Surgery): 치주염으로 손상된 치아 주변 뼈를 복원하기 위해 다른 부위에서 조직이나 뼈를 이식하는 수술입니다.
4. 치아 추출: 치주염으로 인해 치아가 심각하게 손상된 경우, 해당 치아를 추출하는 경우가 있을 수 있습니다. 추출 후에는 치아 대체 옵션을 고려할 수 있습니다.
5. 유지 치료: 치주염 치료 후에는 정기적인 치과 검진과 치주 주머니의 깊이를 관리하기 위한 정기적인 치주주머니 측정이 필요합니다. 환자는 구강 위생 습관을 개선하고 치과 전문가의 지시에 따라 관리해야 합니다.
치주염 치료는 조기 발견과 조기 개입이 중요하며, 환자의 개인적인 상황에 따라 맞춤형 치료 계획이 필요합니다. 따라서 치과 의사와 상담하여 치주염에 대한 개별적인 치료 방안을 결정하는 것이 중요합니다.
치주염 경과 및 합병증
치주염(Periodontitis)은 무시하거나 적절하게 치료하지 않을 경우 심각한 합병증과 구강 건강 문제를 유발할 수 있습니다. 아래에 치주염의 경과 및 합병증에 대해 자세히 설명하겠습니다:
1. 치아 손실: 치주염은 치아 주변 조직의 파괴를 초래하며, 치주주머니의 깊이가 증가할수록 치아를 지지하는 뼈가 손상될 수 있습니다. 이로 인해 치아가 이동하거나 흔들릴 수 있으며, 치아 손실의 주요 원인 중 하나가 됩니다.
2. 뼈 손상: 치주염은 치아 주변 뼈에 손상을 일으킬 수 있으며, 이로 인해 뼈의 감소와 조직의 파괴가 발생할 수 있습니다. 심한 경우, 이로 인해 치아를 잃는 결과로 이어질 수 있습니다.
3. 치아 민감도 증가: 치주염으로 인해 치아 주변 조직이 손상되면 치아 민감도가 증가할 수 있습니다. 냉수, 뜨거운 음식 및 음료, 단단한 식품을 먹을 때 통증을 느낄 수 있습니다.
4. 파노라마각도(치주염각도) 감소: 치주염이 진행되면 치아 주변의 조직이 파노라마각도(치주염각도)를 감소시키며, 이는 치아를 더 어렵게 관리하게 만들고 칫솔이나 치실로 적절히 청소하기 어렵게 합니다.
5. 골손상 및 구강 감염: 치주염은 심각한 경우 뼈 손상을 초래할 수 있으며, 이는 구강 내 감염을 촉진할 수 있습니다. 뼈 손상으로 인해 구강 내 감염이 퍼질 수 있으며, 경우에 따라 골수염 등의 합병증이 발생할 수 있습니다.
6. 치주염과 다른 건강 문제: 치주염은 단순히 구강 건강에만 영향을 미치지 않습니다. 최근 연구에서는 치주염과 다른 신체 건강 문제 사이의 관련성도 제시되고 있습니다. 예를 들어, 심장 질환, 당뇨병, 뇌졸중, 여성의 임신 문제 등과의 연관성이 보고되고 있습니다.
심혈관 질환 정의 원인 증상 예방법 치료법 좋은 음식 나쁜 음식
우리의 심장은 삶의 엔진입니다. 하지만 현대 사회에서는 스트레스, 불규칙한 식습관, 부족한 운동 등으로 인해 심혈관 질환의 위험이 높아지고 있습니다. 이번 글에서는 심혈관 질환의 정의,
facet3.halluwon.com
심근염 정의 원인 증상 예방법 치료법 좋은음식 나쁜음식 등 총정리
심근염은 심장 근육 염증으로, 바이러스나 감염 등으로 발생합니다. 증상은 피로와 근육통부터 호흡 곤란과 심장 관련 심각한 증상까지 다양합니다. 그래서 심근염 정의 원인 증상 예방법 치료
facet3.halluwon.com
관상동맥 질환 정의 원인 증상 예방법 치료법 좋은음식 나쁜음식 등 총정리
오늘 건강 주제에 대해서는 동맥경화 질환에 대해 깊이 파헤쳐보고, 이 질환의 원인, 증상, 예방법, 그리고 치료법 좋은 음식에 대해 알아보겠습니다. 현대인의 건강을 위협하는 이 질환에 대한
facet3.halluwon.com
당뇨 증상 떨어트리기위한 좋은음식 나쁜음식 운동 알아보기
당뇨는 국내에서 사망률이 무려 6위이며 원인으로는 사회에서 일어나는 과한 스트레스와 과식으로 인한 비만이 주요인으로 볼 수 있으면 임신과 노화로 인해서도 발생합니다. 그래서 당뇨 증상
facet3.halluwon.com
치주염은 초기에 적절하게 치료하지 않을 경우 심각한 합병증을 초래할 수 있으므로 정기적인 치과 검진과 치주염 초기 단계에서의 치료가 중요합니다. 구강 위생 습관을 개선하고 치과 전문가와 협력하여 치주염을 관리하는 것이 중요합니다.
치주염 예방법
치주염(Periodontitis)을 예방하려면 일상적인 구강 위생 습관을 강화하고 치과 전문가의 조언을 따르는 것이 중요합니다. 아래에 치주염 예방을 위한 주요 방법과 권장 사항을 자세히 설명하겠습니다:
1. 정기적인 칫솔질: 매일 두 번 이상 칫솔질을 하세요. 부드럽고 원형 모양의 칫솔을 사용하고 치아와 잇몸을 부드럽게 손상시키지 않도록 주의하세요.
2. 치실 사용: 칫솔만으로는 치주주머니 내의 세균을 완전히 제거하기 어렵습니다. 따라서 일주일에 최소 한 번 치실을 사용하여 치아 사이를 깨끗이 청소하세요.
3. 정기적인 치과 검진: 치과 의사의 정기적인 검진을 받아라. 치주염 초기 증상을 조기에 발견하고 치료를 받을 수 있습니다.
4. 올바른 구강 위생 습관: 특히 칫솔질 후 헹구기를 통해 칫솔질 잔여물을 제거하세요. 또한 칫솔, 치실, 치아 브러시 헤드 등의 구강 위생 도구를 교체하는 규칙을 따르세요.
5. 금연: 흡연은 치주염의 위험을 증가시키는 요인 중 하나입니다. 흡연을 피하거나 중단하세요.
6. 규칙적인 구강 건강 상담: 치과 의사나 치과 위생사와 정기적으로 상담하고 구강 건강 계획을 평가하세요. 구강 건강에 대한 전문가의 조언을 따르세요.
7. 영양 균형: 건강한 식단을 유지하고 과도한 당분 섭취를 피하세요. 항산화 비타민과 미네랄이 풍부한 식품을 포함한 다양한 식사를 섭취하세요.
8. 스트레스 관리: 스트레스는 면역 체계를 약화시키고 치주염을 악화시킬 수 있으므로 스트레스 관리 기술을 연습하세요.
9. 비정상적인 치아 형태 및 위치에 대한 관리: 치아 간격이 너무 좁거나 비정상적인 치아 위치가 있는 경우, 치과 의사의 조언을 따르고 치아 교정을 검토하세요.
치주염을 예방하려면 꾸준한 노력과 정기적인 구강 건강 관리가 필요합니다. 정기적인 치과 검진과 전문가의 조언을 따르며 구강 위생 습관을 엄수하면 치주염 발생 위험을 크게 줄일 수 있습니다.
치주염 식이요법과 생활 가이드
치주염(Periodontitis)을 관리하고 예방하기 위한 식이요법과 생활가이드는 구강 건강을 개선하고 치주 염증을 줄이는 데 도움을 줄 수 있습니다. 아래에 치주염 관리를 위한 식이요법과 생활가이드를 자세히 설명하겠습니다:
식이요법
1. 항산화 비타민과 미네랄 섭취: 비타민 C, 비타민 E, 아연 및 셀레늄과 같은 항산화 비타민과 미네랄은 치주 건강을 유지하는 데 도움이 됩니다. 과일, 채소, 견과류 및 고기와 같은 식품에서 이러한 영양소를 충분히 섭취하세요.
2. 오메가-3 지방산:오메가-3 지방산이 치주 염증을 감소시키고 구강 건강을 지원하는 데 도움이 될 수 있습니다. 물고기(연어, 마스크, 고등어 등)나 감자, 아마씨 등 오메가-3 지방산을 풍부하게 포함한 음식을 섭취하세요.
3. 비타민 D: 비타민 D는 치주 염증을 감소시키는 데 도움을 줄 수 있습니다. 식품에서 비타민 D를 섭취하거나 햇빛을 통해 피부에서 합성됩니다.
비타민D 부족 원인 증상 음식 해결법 총정리
요즘 현대사회에서 비타민D 부족 현상이 많이 발생합니다. 예전에는 실외 생활이 많았지만 지금은 실내 생활이 전체적으로 많다 보니 저절로 비타민D 자연 생성을 하지 못해 발생하는 현상입니
facet3.halluwon.com
4. 당분 섭취 제한: 과도한 당분 섭취는 치주염의 증상을 악화시킬 수 있습니다. 당분이 풍부한 음식과 음료를 제한하고 건강한 간식을 선택하세요.
생활가이드
1. 정기적인 구강 위생 관리: 매일 두 번 이상 칫솔질을 하고 치실을 사용하여 치아와 치주를 청소하세요. 칫솔질 후 헹구기를 통해 잔여물을 제거하고 칫솔, 치실, 치아 브러시 헤드를 정기적으로 교체하세요.
2. 정기적인 치과 검진: 치과 의사의 정기적인 검진을 받으세요. 치주 건강을 확인하고 필요한 경우 치주 염증을 조기에 발견하고 치료하세요.
3. 흡연 금지: 흡연은 치주염을 악화시키는 요인 중 하나입니다. 흡연을 중단하거나 피하세요.
4. 스트레스 관리: 스트레스는 면역 체계를 약화시키고 치주 건강을 영향을 미칠 수 있으므로 스트레스 관리 기술을 연습하세요.
5. 규칙적인 운동: 운동은 면역 체계를 강화하고 염증을 줄일 수 있습니다. 정기적인 신체 활동을 유지하세요.
6. 알코올 섭취 제한: 과도한 알코올 섭취는 치주 염증을 악화시킬 수 있으므로 알코올을 적당히 섭취하세요.
치주염을 효과적으로 관리하고 예방하기 위해서는 구강 위생 습관과 식이요법을 조절하며 치과 전문가와의 협력이 필요합니다. 정기적인 치과 검진과 치주 건강을 유지하기 위한 노력을 통해 치주염 발생을 최소화할 수 있습니다.
구내염 정의 원인 증상 진단과 검사 치료 경과와합병증 예방법 총정리
구내염은 입안의 점막에 발생하는 염증으로, 일반적으로 흔한 구강 질환 중 하나입니다. 이 질환은 입안의 통증, 붓기, 작은 궤양 등을 유발하며, 대개 박테리아나 바이러스에 의해 발생합니다.
facet3.halluwon.com











