티스토리 뷰
폐렴(Pneumonia)은 감기나 기침과 같은 일상적인 증상에서 시작하여 호흡기 감염으로 발전할 수 있는 질병입니다. 이로 인해 폐의 공기 포화가 증가하고 호흡곤란과 발열을 초래합니다. 폐렴은 주로 바이러스나 세균에 의해 유발되며, 치료가 필요한 상태일 때는 의료 전문가의 지원이 필요합니다. 그래서 폐렴 정의 원인 증상 진단과 검사 치료 경과/합병증 예방법 총정리 해보겠습니다.

폐렴 정의
폐렴(Pneumonia)은 폐(양쪽 폐 또는 한쪽 폐)의 기관 내부에 염증이 발생하는 감염성 또는 비감염성 질환입니다. 이러한 염증으로 인해 폐의 기능이 손상되고 공기 포화가 발생할 수 있으며, 호흡곤란, 기침, 가슴 통증, 발열과 같은 다양한 증상을 유발할 수 있습니다.
폐렴은 주로 세균, 바이러스, 균류, 미생물, 또는 기타 유해 물질에 노출됨으로써 발생합니다. 이러한 외부 요인들이 폐의 폐포를 감염시키고 염증 반응을 유발합니다. 이로 인해 폐렴 환자는 호흡 곤란과 함께 기침, 가래, 가슴 통증, 고열, 피로감, 권태감 등의 증상을 겪을 수 있습니다.
폐렴은 일반적으로 다음과 같은 형태로 분류됩니다:
1. 세균성 폐렴: 세균이 원인인 경우로 가장 흔한 유형 중 하나입니다.
2. 바이러스성 폐렴: 바이러스에 의해 발생하며, 인플루엔자 바이러스나 호흡기 바이러스가 원인이 될 수 있습니다.
3. 균성 폐렴: 진균 또는 기타 균류에 의해 발생하며, 특히 면역기능이 저하된 환자들에게 영향을 줄 수 있습니다.
4. 비감염성 폐렴: 화학 물질 노출, 방사선 치료, 미세 입자 또는 알레르기 반응 등으로 인한 염증으로 발생하는 경우입니다.
폐렴은 치료가 필요한 중요한 질환 중 하나이며, 조기 진단과 적절한 치료가 핵심입니다. 항생제 또는 항바이러스 치료, 산소 공급, 휴식 및 증상 관리 등이 포함될 수 있으며, 심각한 경우 입원 치료가 필요할 수 있습니다. 특히 어린 아이, 노인, 면역 기능이 저하된 개인 및 기저 질환을 가진 환자들은 폐렴에 대한 위험이 높으므로 예방 및 주의가 필요합니다.
폐렴 원인
"폐럼(Pleurum)"은 인체의 해부학적 구조 중 하나로, 폐(Pulmonary)와 관련된 중요한 부분입니다. 폐럼은 폐의 표면을 덮고 있는 얇은 이중막으로, 폐막(Pleura membrane)이라고도 합니다. 이중막 구조로 된 폐럼은 두 개의 층으로 구성되어 있으며, 다음과 같이 두 가지 주요 부분으로 나눌 수 있습니다:
1. **폐럼 파리에탈리스(Parietal Pleura):** 폐럼의 외부 층으로, 흉부 벽에 부착되어 있습니다. 이 층은 흉강 내의 구조물과 직접적으로 접촉하며, 흉강 내부의 압력을 조절하고 폐의 움직임을 도와주는 역할을 합니다.
2. **폐럼 비스세라리스(Visceral Pleura):** 폐의 표면을 덮고 있는 내부 층으로, 직접 폐의 표면에 부착되어 있습니다. 이 층은 폐의 표면을 보호하고 폐의 움직임과 미끄러짐을 가능하게 합니다.
폐럼의 주요 기능은 폐를 안정적으로 보호하고 폐와 흉강 사이의 마찰을 줄여주어 호흡 과정을 원활하게 만듭니다. 폐럼은 호흡 시 폐의 팽창과 수축을 도와주며, 호흡 중에 발생하는 마찰을 최소화하여 호흡 곤란을 방지합니다.
폐럼과 관련된 질환으로는 폐럼염(Pleuritis)이나 폐럼 흡수성 기타 물질의 축적이 있을 수 있으며, 이러한 질환은 호흡곤란, 가슴 통증, 기침 등의 증상을 유발할 수 있습니다. 폐럼 질환의 진단 및 치료는 의료 전문가의 지원을 받아야 하며, 이러한 질환은 적절한 치료로 통제될 수 있습니다.
폐렴(pneumonia)은 폐(양쪽 폐 또는 한쪽 폐)의 염증으로 인한 질환으로, 감염이나 염증으로 인해 폐의 기능이 저하되어 다양한 증상이 나타납니다. 이러한 증상은 개인마다 다를 수 있지만, 주로 다음과 같은 폐렴의 흔한 증상들이 포함됩니다:
폐렴 증상
1. 호흡곤란: 가벼운 호흡곤란에서부터 중증의 호흡곤란까지 다양한 정도가 있을 수 있습니다. 폐렴으로 인해 폐의 기능이 저하되어 산소 공급이 어려워질 수 있습니다.
2. 기침: 건조하거나 가래가 있는 기침이 나타날 수 있으며, 때로는 가래에 피 혹은 녹색 또는 노란색 가래가 혼합될 수 있습니다.
3. 가슴 통증:*가슴에서 발생하는 통증 또는 불편함이 나타날 수 있습니다. 이 통증은 폐렴에 따라 다를 수 있으며, 특히 호흡 시 더욱더 통증을 느낄 수 있습니다.
4. 발열: 발열은 고체가 발생하는 것이 일반적이며, 고열이 나타날 수 있습니다. 체온이 상승하면 발열로 인한 불쾌감과 피로감이 나타날 수 있습니다.
5. 오한: 체온 조절이 어려워지므로 춥고 오한을 느낄 수 있습니다.
6. 피로감: 폐렴으로 인해 면역 체계가 활성화되고 신체가 대항력을 소모하므로 피로감이 나타날 수 있습니다.
7. 인식 장애:중증의 경우 혼란 또는 인식 장애가 발생할 수 있으며, 이는 산소 부족으로 인해 뇌에 영향을 미칠 수 있습니다.
폐렴의 증상은 개인마다 다를 수 있으며, 연령, 기저 질환, 감염 원인, 그리고 전반적인 건강 상태에 따라 다양하게 나타날 수 있습니다. 만약 폐렴의 증상이 의심된다면, 의료 전문가와 상담하고 적절한 진단과 치료를 받아야 합니다. 폐렴은 조기 발견과 치료가 중요하며, 항생제나 항바이러스 치료, 산소 치료 등이 필요할 수 있습니다.
폐렴 진단과 검사
폐렴(Pneumonia)의 진단과 검사는 의료 전문가가 환자의 증상 및 의료 기록을 평가하고, 필요한 경우 추가적인 검사를 수행하여 확정됩니다. 폐렴 진단과 관련된 주요 단계와 검사 방법은 다음과 같습니다:
1. 의료 진단 및 증상 평가: 의사 또는 간호사는 환자의 증상을 평가하고 의료 기록을 조사합니다. 환자의 기침, 호흡곤란, 가슴 통증, 발열 및 다른 증상에 대한 자세한 정보를 수집합니다.
2. 신체 검사: 의사는 환자의 폐를 청진하고, 가슴에서 소리 나는 이상 소리인 크랙릴 소리(crackles)를 확인할 수 있습니다. 이것은 폐렴의 일반적인 신체 소견 중 하나입니다.
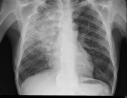
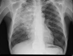
3. 흉부 X-레이: 흉부 X-레이 검사는 폐렴의 증거를 확인하기 위한 중요한 검사입니다. X-레이 영상에서 염증이나 독특한 패턴이 나타날 수 있으며, 이로써 폐렴 진단을 확인할 수 있습니다.
4. 혈액 검사: 혈액 검사는 폐렴의 원인에 따른 염증 표지자나 감염의 정도를 확인하는 데 도움이 됩니다. 일반적으로 환자의 백혈구 수, 염증 표지자(C-반응성 단백질, CRP), 혈소판 수 등을 측정합니다.
5. 기타 검사: 심각한 경우 또는 특수한 상황에서는 폐렴의 원인을 정확히 파악하기 위해 기타 검사도 수행될 수 있습니다. 이러한 검사에는 기관 검사(브론코스코피, 흉부 초음파 등), 정확한 병원균 분석을 위한 가래 검사, CT 스캔 등이 포함될 수 있습니다.
폐렴 진단은 주로 증상과 검사 결과를 종합하여 이루어집니다. 증상이 심각하거나 의심되는 경우, 환자는 병원에서 입원 치료를 받을 수도 있습니다. 폐렴은 감염성 질환으로, 조기 진단과 적절한 치료가 중요합니다. 따라서 폐렴의 증상이 나타날 경우 의료 전문가의 지원을 받는 것이 필요합니다.
폐렴 치료법
폐렴(Pneumonia)의 치료는 폐렴의 원인, 심각성, 환자의 나이 및 기저 건강 상태 등에 따라 다를 수 있습니다. 일반적으로 세균, 바이러스, 미생물 등으로 인한 감염으로 발생하는 경우, 다음과 같은 주요 치료 접근 방법이 존재합니다:
1. 항생제 치료:세균성 폐렴의 경우, 의사는 특정 세균의 민감도를 고려하여 적절한 항생제를 처방합니다. 세균의 종류와 항생제에 대한 민감성 결과를 기반으로 선택됩니다. 환자는 의사의 처방에 따라 정해진 기간 동안 항생제를 복용해야 합니다. 치료를 시작한 후 증상이 개선되어도 항생제를 끊어서는 안 되며, 완전히 마칠 때까지 복용해야 합니다.
2. 휴식 및 수액 공급:폐렴 환자는 휴식을 취하고 충분한 수액을 섭취하여 본인의 면역 체계를 지원해야 합니다. 수액 공급은 체온을 조절하고 감염을 대항하는데 도움이 됩니다.
3. 진통제 및 해열제: 가슴 통증이나 고열을 완화하기 위해 진통제와 해열제를 사용할 수 있습니다. 의사의 처방에 따라 적절한 약물을 사용하세요.
4. 산소 치료:호흡곤란이나 산소 공급이 부족한 경우, 산소 치료를 받아야 할 수 있습니다. 이는 산소 호흡기를 사용하거나 산소 통로를 통해 제공됩니다.
5. 입원 치료: 심각한 폐렴 환자나 기저 질환을 가진 환자는 입원 치료가 필요할 수 있습니다. 입원 중에는 의사와 간호사가 적절한 치료를 제공하고 환자의 상태를 지속적으로 모니터링합니다.
6. 재활 및 후속 관리: 폐렴 치료 후, 환자는 퇴원 후에도 적절한 휴식과 후속 관리가 필요할 수 있습니다. 이는 환자의 회복을 지원하고 기력을 되찾도록 도와줍니다.
폐렴 치료는 조기 진단과 적절한 치료로 증상의 개선과 합병증의 예방을 목표로 합니다. 치료 중에는 의사의 지시를 엄격히 따르고, 약물 복용을 중단하지 않는 것이 중요합니다. 폐렴은 치료하지 않으면 심각한 합병증을 유발할 수 있으므로, 의료 전문가와의 협력이 필수적입니다.
폐렴(Pneumonia)은 조기 진단과 적절한 치료로 대부분의 환자가 회복할 수 있지만, 미처리하거나 적절한 치료를 받지 않으면 합병증이 발생할 수 있습니다. 폐렴의 합병증은 폐렴의 원인, 환자의 나이, 기저 질환 등에 따라 다를 수 있으며, 다음과 같은 주요 합병증이 있습니다:
1. 호흡곤란:심각한 폐렴 또는 기저 질환을 가진 환자의 경우 호흡곤란이 나타날 수 있습니다. 폐렴으로 인해 폐의 기능이 손상되고 산소 공급이 어려워질 수 있습니다.
2. 기도 폐쇄: 가래 또는 점액이 폐 기관을 막을 수 있으며, 이로 인해 기도 폐쇄가 발생할 수 있습니다. 이는 호흡을 방해하고 미치는 기존 질환을 악화시킬 수 있습니다.
3. 폐 농양: 세균성 폐렴의 경우, 폐농양(abscess)이 발생할 수 있습니다. 이는 폐 조직 내의 감염 농축물로 인한 낭종 형성으로, 치료가 필요한 합병증입니다.
4. 균형 장애: 폐렴 환자는 호흡곤란 및 미각 변화로 인해 균형 장애가 발생할 수 있으며, 이는 실신과 같은 사고를 유발할 수 있습니다.
5. 심장 합병증: 폐렴으로 인해 호흡이 어려워지면 심장 부담이 증가할 수 있으며, 이로 인해 심장 합병증이 발생할 수 있습니다.
심혈관 질환 정의 원인 증상 예방법 치료법 좋은 음식 나쁜 음식
우리의 심장은 삶의 엔진입니다. 하지만 현대 사회에서는 스트레스, 불규칙한 식습관, 부족한 운동 등으로 인해 심혈관 질환의 위험이 높아지고 있습니다. 이번 글에서는 심혈관 질환의 정의,
facet3.halluwon.com
6. 세균 혈증: 세균성 폐렴이 혈액으로 퍼져 세균 혈증(sepsis)으로 진행될 수 있습니다. 세균 혈증은 심각하며 응급적인 의료 치료가 필요합니다.
7. 기저 질환 악화: 폐렴은 기저 질환을 가진 환자의 기존 상태를 악화시킬 수 있습니다. 예를 들어 만성 폐쇄성 폐질환(COPD) 또는 심장 질환 환자는 폐렴으로 인해 상태가 더욱 악화될 수 있습니다.
8. 항생제 저항성: 무분별한 항생제 사용 또는 적절하지 않은 항생제 처방으로 인해 세균이 항생제에 저항성을 발전시킬 수 있습니다. 이는 치료를 어렵게 만들 수 있습니다.
9. 농흉(Nosocomial pneumonia): 농흉은 병원에서 발생하는 폐렴으로, 병원 내에서 감염된 환자가 폐렴을 얻는 경우를 말합니다. 병원 내에서 다른 환자나 의료 직원을 통해 세균이 전파되어 발생할 수 있으며, 농흉은 종종 면역 기능이 저하된 환자들에게 더 많이 발생합니다.
10. 급성 호흡곤란 증후군(ARDS): ARDS는 폐렴 또는 다른 폐 질환으로 인한 염증 및 폐 부족으로 인해 발생하는 심각한 호흡 부족 상태입니다. 산소 공급이 부족하고 이산화탄소 배출이 어려워지며, 심각한 호흡곤란과 산소 부족 증상을 유발합니다. ARDS는 치료가 복잡하며 고도의 의료 관리가 필요한 상태입니다.
이 합병증들은 폐렴 환자에서 발생할 수 있으며, 폐렴의 심각성과 치료 여부, 환자의 기저 상태 등에 따라 발생할 수 있습니다. 이러한 합병증을 방지하고 조기 진단하여 적절한 치료를 받는 것이 중요합니다. 폐렴의 증상이 나타난다면 의료 전문가와 상담하여 적절한 조치를 취해야 합니다.
폐렴 예방법
폐렴(Pneumonia)은 감염으로 인해 발생하는 질환으로, 예방을 통해 폐렴 발생을 줄이는 것이 중요합니다. 아래에는 폐렴을 예방하기 위한 주요 방법과 권장 사항을 제공합니다:
1. 예방접종:
- 폐렴균 백신: 폐렴균(Streptococcus pneumoniae) 백신은 다양한 폐렴균 종류에 대한 예방접종이며, 주로 어린아이들, 노인, 면역 기능이 저하된 개인, 기저 질환을 가진 환자들에게 권장됩니다. 아동 및 성인을 대상으로 하는 두 가지 주요 폐렴균 백신이 있습니다.
- 인플루엔자 백신: 인플루엔자(독감) 감염은 폐렴의 합병증으로 발전할 수 있으므로, 매년 인플루엔자 백신을 접종하는 것이 중요합니다.
2. 손 씻기: 규칙적인 손 씻기는 감염 예방의 기본입니다. 비말을 통해 전파되는 폐렴균과 바이러스를 피하기 위해 균형 잡힌 손 씻기 습관을 유지하세요.
3. 호흡기 감염 예방: 감염 예방을 위해 다음과 같은 조치를 취하세요.
- 기침 또는 재채기할 때 구강을 팔꿈치나 휴지로 가려주세요.
- 사용한 휴지나 물건을 공유하지 마세요.
- 사람들과의 접촉을 피하거나 거리를 두세요.
4. 면역 체계 강화: 건강한 라이프스타일을 유지하고, 충분한 수면을 취하며, 균형 잡힌 식사를 하여 면역 체계를 강화하세요.
5. 흡연 피하기: 흡연은 기관 기능을 손상시키고 호흡기 감염에 민감성을 높일 수 있으므로, 흡연을 피하는 것이 중요합니다.
6. 예방 치료: 만약 면역 기능이 저하된 개인이나 기저 질환을 가진 환자라면 의사의 조언을 따르고, 필요한 경우 폐렴 예방 치료를 받으세요.
폐렴은 다양한 원인에 의해 발생할 수 있으며, 예방이 중요합니다. 특히 어린 아이, 노인, 면역 기능이 저하된 환자 및 기저 질환을 가진 환자들은 폐렴 예방에 특히 주의해야 합니다. 폐렴 예방을 위한 백신 접종과 위생적인 습관 유지가 폐렴 발생을 줄이는 데 도움이 됩니다.
▶다른 심장 질환등 보기
관상동맥 질환 정의 원인 증상 예방법 치료법 좋은음식 나쁜음식 등 총정리
오늘 건강 주제에 대해서는 동맥경화 질환에 대해 깊이 파헤쳐보고, 이 질환의 원인, 증상, 예방법, 그리고 치료법 좋은 음식에 대해 알아보겠습니다. 현대인의 건강을 위협하는 이 질환에 대한
facet3.halluwon.com
부정맥 이란 원인 증상 예방법 치료방법 좋은음식 나쁜음식 등 총정리
부정맥은 매우 일반적인 현상이며, 대부분은 건강한 사람들에게도 발생할 수 있습니다. 그러나 심한 부정맥은 심장 건강에 영향을 미칠 수 있으므로, 정확한 이해와 관리가 필요합니다. 이 글은
facet3.halluwon.com
동맥 경화증 원인 증상 예방법 치료법 음식 등 총정리
우리 몸의 혈관은 길과 같습니다. 하지만 그 길에도 교통 체증이 일어날 수 있습니다. 이번 글에서는 동맥경화에 대해 적겠습니다.. 어떤 원인으로 동맥이 경화되는지, 그리고 이로 인해 건강에
facet3.halluwon.com











