티스토리 뷰
관절 건강을 지키는 비법 중에 하나 통풍에 대해서 적을 예정입니다. 통풍은 고통스럽지만 예방과 관리로 통증을 완화할 수 있습니다. 이 글에서는 통풍의 원인과 증상, 진단 및 검사. 예방법 치료법등 실제로 적용 가능한 일상적인 조언을 알려드립니다. 건강한 라이프스타일을 위해서 상식 적으로 알았으면 하는 차원에서 이 글을 적습니다

통풍의 정의
통풍은 높은 요산 농도로 인해 결정이 관절 주변에 쌓이면서 발생하는 만성적인 대사성 질환입니다. 이로 인해 관절과 주변 조직에 염증이 발생하며 통증, 부어오름, 열감 등의 증상이 나타날 수 있습니다. 주로 발 발가락의 관절에서 발생하지만 손, 발목, 무릎 등 다양한 관절에 영향을 미칠 수 있습니다. 통풍은 요산 결정이 관절 주변의 소프트 터치에 의해 활성화되거나 특정 상황에서 급작스럽게 악화될 수 있는 특징이 있습니다. 심각한 경우에는 관절 손상을 초래하여 일상생활에 큰 불편을 초래할 수 있습니다. 요산 결정의 쌓임을 예방하고 염증을 관리하는 것이 통풍 관리의 핵심입니다.
통풍의 원인
통풍의 주요 원인은 고요산혈증입니다. 고요산혈증은 혈액 속의 요산 농도가 비정상적으로 높아지는 상태로, 요산은 체내의 세포 대사 과정 중 생성되는 물질입니다. 고요산혈증은 다양한 원인으로 발생할 수 있습니다:
- 과다한 식이 섭취: 고프린, 고지방 식품 및 음주는 요산 생성을 증가시킬 수 있습니다.
- 체중과 비만: 과체중이거나 비만인 경우, 체내의 지방 조직이 분해됨에 따라 더 많은 요산이 생성될 수 있습니다.
- 유전적 요인: 가족력이 있는 경우 통풍 발병 위험이 높아질 수 있습니다.
- 요도 이상 기능: 신장 문제나 요도의 기능 이상은 요산의 배출을 어렵게 하여 고요산혈증을 유발할 수 있습니다.
- 약물 사용: 일부 약물은 요산 생성을 촉진하거나 배출을 어렵게 할 수 있습니다.
- 대사 이상: 특정 대사 이상 상태나 질환이 고요산혈증을 일으킬 수 있습니다.
고요산혈증은 통풍 발병 위험을 높이는 주된 요소입니다. 고요산혈증이 있는 상태에서 혈액 속의 요산 결정이 관절 주변에 쌓이면 염증을 일으키고 통풍 발작을 유발할 수 있습니다. 따라서 통풍을 예방하고 관리하기 위해서는 식습관 조절, 체중 관리, 의사와 상의한 약물 관리 등이 필요합니다.
통풍의 진단 및 검사
통풍의 진단과 검사는 환자의 증상과 의료 전문가의 평가를 통해 이루어집니다. 다음은 통풍 진단을 위해 사용되는 주요 검사와 절차에 대한 정보입니다:
- 의료 기록 및 증상 평가: 환자의 의료 기록을 분석하고 통풍과 관련된 증상 및 발작의 유무를 평가합니다. 통증의 발작적인 특성, 관절 부위 및 발작 유발 요소 등을 확인합니다.
- 혈액 검사: 혈액 내의 요산 농도를 측정하는 것이 중요합니다. 고요산혈증은 통풍의 주요 원인 중 하나입니다. 요산 농도가 높으면 통풍의 발병 가능성이 높아집니다.
- 관절 액 검사: 관절 내의 염증 정도와 결정의 유무를 확인하기 위해 관절 내 액체를 검사하는 것이 도움이 될 수 있습니다.
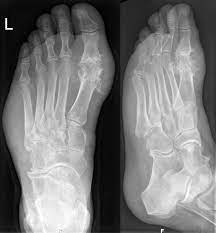
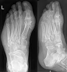
- X선 검사: 관절 및 주변 조직의 염증, 결정의 쌓임 정도를 평가하기 위해 X선 검사를 사용할 수 있습니다. 하지만 통풍의 초기 단계에서는 X선상으로는 볼 수 없는 경우가 많습니다.
- 요산 결정 확인: 통풍 발병 부위의 조직 내에서 요산 결정을 확인하기 위해 현미경 아래에서 조직을 조사하는 조직 검사가 사용될 수 있습니다.
- 초음파 검사: 관절 내의 염증, 결정의 쌓임 상태를 평가하기 위해 초음파 검사가 활용될 수 있습니다. 초음파는 관절 내의 소프트 터치 부위에서도 결정을 감지할 수 있는 장점이 있습니다.
- MRI 검사: 관절 및 주변 조직의 염증 상태, 손상 정도 등을 더 자세하게 평가하기 위해 자기 공명 영상 검사가 사용될 수 있습니다.
통풍의 진단과 검사는 의료 전문가와의 상담과 협의를 통해 이루어져야 하며, 각 환자의 상황에 따라 적절한 검사가 선택됩니다.
통풍의 증상
통풍은 주로 급격한 발작적인 증상을 보이며, 이는 주로 관절 부위에서 발생합니다. 통풍 발작의 주요 증상은 다음과 같습니다:
- 극심한 통증: 통풍 발작은 강한 통증을 동반합니다. 통증은 일반적으로 밤이나 새벽에 시작하여 관절 부위에 급격히 나타나며, 뚜렷한 통증을 유발합니다. 종종 "화살통 통증"이라고도 불리며, 통증의 강도는 매우 높을 수 있습니다.
- 부어오름과 발적: 통풍 발작 부위의 관절은 붓고 붉게 변할 수 있습니다. 특히 발가락의 발적이 흔하며, 관절 주위에 염증이 발생하는 결과입니다.
- 열감과 민감도: 통풍 발작으로 인해 발작 부위는 뜨거워지고 민감해질 수 있습니다. 심한 경우, 신체의 발열과 함께 민감도가 증가하는 것을 경험할 수 있습니다.
- 일반적인 증상: 통풍 발작은 때로 일반적인 증상도 동반할 수 있습니다. 오한, 피로, 체한, 불편함 등이 있을 수 있습니다.
통풍 발작은 종종 몇 시간에서 몇 일 동안 지속될 수 있으며, 스스로 호전되기도 하지만 증상이 계속되거나 심해질 경우 의료 전문가와 상담하는 것이 중요합니다. 통풍은 치료 및 관리가 가능한 질환으로, 적절한 치료와 생활 습관 조절로 증상을 완화하고 재발을 예방할 수 있습니다.
통풍의 합병증
통풍 합병증은 통풍이 심각한 수준으로 발전하거나 제대로 관리되지 않았을 때 나타날 수 있는 다양한 합병증을 의미합니다. 이러한 합병증은 환자의 건강 상태를 악화시킬 수 있으며, 중요한 의료적 주의가 필요합니다. 몇 가지 흔한 통풍 합병증은 다음과 같습니다:
- 관절 손상: 통풍으로 인한 요산 결정이 관절 주변에 쌓일 경우, 관절 손상이 발생할 수 있습니다. 만약 통풍을 적절히 관리하지 않으면 관절 구조에 영구적인 손상을 초래할 수 있습니다.
- 요로결석: 고요산혈증으로 인해 요산 결정이 신장과 요로계에 쌓일 경우, 요로결석이 발생할 수 있습니다. 이로 인해 통증과 배뇨 문제 등이 발생할 수 있습니다.
- 만성 관절염: 통풍이 무시되거나 적절히 관리되지 않을 경우, 만성 관절염이 발생할 수 있습니다. 관절 손상과 염증이 지속되면서 관절 기능이 저하될 수 있습니다.
- 신장 문제: 고요산혈증으로 인해 신장 기능이 저하되거나 신부전이 발생할 수 있습니다. 신장 기능이 약화되면 체내 요산 배출이 어려워져 통풍의 심각성이 증가할 수 있습니다.
- 심혈관 질환: 통풍은 심혈관 질환의 위험을 증가시킬 수 있습니다. 고요산혈증은 동맥 경화, 고혈압, 심근경색 등과 관련될 수 있습니다.
기타 합병증: 통풍이 심각한 경우 다른 합병증도 발생할 수 있습니다. 예를 들어, 눈의 결막염, 신경계 합병증 등이 있을 수 있습니다.
심혈관 질환 정의 원인 증상 예방법 치료법 좋은 음식 나쁜 음식
우리의 심장은 삶의 엔진입니다. 하지만 현대 사회에서는 스트레스, 불규칙한 식습관, 부족한 운동 등으로 인해 심혈관 질환의 위험이 높아지고 있습니다. 이번 글에서는 심혈관 질환의 정의,
facet3.halluwon.com
통풍 합병증을 피하려면 조기에 증상을 인식하고 적절한 의료 전문가와 상담하여 적절한 치료와 관리를 받는 것이 중요합니다. 통풍은 적절한 생활 습관 조절, 약물 치료, 의사와의 협력을 통해 효과적으로 관리될 수 있는 질환입니다.
동맥 경화증 원인 증상 예방법 치료법 음식 등 총정리
우리 몸의 혈관은 길과 같습니다. 하지만 그 길에도 교통 체증이 일어날 수 있습니다. 이번 글에서는 동맥경화에 대해 적겠습니다.. 어떤 원인으로 동맥이 경화되는지, 그리고 이로 인해 건강에
facet3.halluwon.com
고혈압에 대해서 낮추는방법 증상 관련된음식 좋은 운동
고혈압은 식습관이 서구화된 식습관과 운동 부족, 스트레스, 비만등 외부적인 요소와 유전적인 내부족인 요소가 있습니다. 하지만 식습관 변화시키고, 운동을 통해 체중관리등 외부적인 변화만
facet3.halluwon.com
심근경색증의 원인, 증상, 치료법, 그리고 예방법 음식 총정리
심장 건강을 지키는 것이 우리의 삶에 얼마나 중요한지 알고 계십니까? 여기서 우리는 심근경색증, 일명 '심장마비'에 대해 알아볼 것입니다. 이 블로그에서는 심근경색증의 원인, 증상, 치료법,
facet3.halluwon.com
통풍 예방법
- 통풍 예방법은 고요산혈증을 관리하고 통풍 발작을 예방하기 위해 채택할 수 있는 다양한 전략을 포함합니다. 아래에 통풍 예방을 위해 고려해야 할 중요한 점들을 자세히 안내해 드리겠습니다:
1. 식습관 관리
- 저 프린 식품 섭취: 프린이 많이 포함된 식품(육류, 내장, 어패류)을 제한하거나 줄이세요.
- 과일과 채소: 과일과 채소를 풍부하게 섭취하여 식이섬유와 비타민을 충분히 섭취하세요.
- 저지방 식단: 과다한 지방 섭취를 피하기 위해 저지방 식단을 유지하세요.
2. 알코올 제한
- 알코올은 요산 농도를 증가시키고 통풍 발작을 유발할 수 있으므로, 알코올 섭취량을 제한하세요.
3.수분 섭취
- 충분한 물을 마시며 신장 기능을 돕고 요산의 배출을 도와 통풍 발작을 예방하세요.
4. 체중 관리
- 비만이 통풍 발병 위험을 증가시킬 수 있으므로 건강한 체중을 유지하세요.
5. 운동
- 꾸준한 신체 활동을 통해 체중을 관리하고 관절 건강을 유지하세요. 하지만 과도한 신체 활동은 통풍 발작을 유발할 수
- 있으므로 적절한 운동량을 유지하세요.
6. 의료 전문가와의 상담
- 의사나 영양사와 상담하여 개별적인 식습관 조절 및 생활 습관 개선 방안을 찾아보세요.
7. 약물 치료
- 통풍 예방을 위해 의사의 처방에 따라 약물을 복용하는 것이 필요할 수 있습니다. 의사와 상의한 후 약물을 적절히 복용하세요.
8. 스트레스 관리
- 스트레스는 통풍 발작을 악화시킬 수 있으므로, 스트레스 관리 기술을 익히고 실천하세요.
9. 약물 복용 준수
- 의사의 처방에 따라 약물을 꾸준히 복용하여 통풍 관리를 철저히 하세요.
통풍 예방법은 개인별로 다를 수 있으며, 의료 전문가와의 상담을 통해 적절한 예방 전략을 수립하는 것이 중요합니다. 통풍 예방을 위해서는 식습관과 생활 습관의 조정, 의사와의 협력, 꾸준한 관리가 필요합니다.
통풍 치료법
통풍 치료법은 통풍 발작을 완화시키고 재발을 예방하기 위한 다양한 전략을 포함합니다. 아래에 통풍 치료를 위해 고려해야 할 중요한 점들을 자세히 안내해 드리겠습니다:
1. 약물 치료
- NSAIDs (비스테로이드 항염증제): 비스테로이드 항염증제인 NSAIDs는 통풍 발작을 완화시키고 통증과 염증을 줄이는 데 사용됩니다.
- 톨킨세 (Colchicine): 염증을 억제하고 통풍 발작을 예방하기 위해 사용됩니다.
요산 배출 증진제: 알로푸리놀 (Allopurinol)과 페브루아트 (Febuxostat)과 같은 약물은 요산의 생성을 억제하고 고요산혈증을 관리하는 데 사용됩니다. - 요산 배출 증진제 (uricosuric agents): 프로베 놀린 (Probenecid)과 벤지브로메트 (Benzbromarone)과 같은 약물은 신장을 통해 요산의 배출을 돕는 데 사용됩니다.
2. 생활 습관 조정
- 식습관 관리: 고프린 식품과 과도한 알코올 섭취를 피하고, 과일, 채소, 저지방 식품을 선호하세요.
- 수분 섭취: 충분한 물을 마시며 요산의 배출을 돕고 신장 건강을 유지하세요.
- 체중 관리: 체중을 관리하여 고요산혈증의 위험을 줄이세요.
- 운동: 적절한 운동을 통해 체중을 관리하고 관절 건강을 유지하세요. 과도한 운동은 피하십시오.
3. 의료 전문가와의 상담
- 의사나 류머티즘학 전문의와 상담하여 치료 계획을 수립하고 적절한 약물 치료를 결정하세요.
4. 치료의 지속성 및 준수
- 의사의 처방에 따라 약물을 꾸준히 복용하고, 치료 계획을 충실히 따르세요.
5. 식이 보충제 및 비타민
- 의사와 상의하여 통풍과 관련된 음식 보충제나 비타민을 고려하세요.
- 통풍 치료는 개인별로 다를 수 있으며, 의료 전문가의 지침을 따라야 합니다. 효과적인 통풍 치료를 위해서는 약물 치료와 함께 생활 습관의 조절이 중요합니다.
햄스트링 통증 원인 증상 치료법 강화운동 스트레칭 총정리
스포츠 뉴스에서 운동선수들 부상 소식을 접하면서 햄스트링 부상을 많이 입었다고 보도가 되고 있었고 일반인들에게도 이 부분을 부상입습니다. 그래서 이참에 햄스트링 통증과 치료법 강화
facet3.halluwon.com
대퇴사두근 통증 원인 증상 치료법 운동 총정리
운동선수 중 특히 축구 선수들이 대퇴사두근 부상에 많이 놓여 있는 듯합니다. 최근에도 이강인 선수도 여기에 부상 입었고요. 그래소 대퇴사두근 원인 통증 증상 치료법 운동에 대해서 총정리
facet3.halluwon.com
족저근막염 치료법 원인 증상 예방법 총정리 합니다.
족저근막염 원인 증상 치료법 스트레칭 예방법 대해서 적어 보겠습니다. 글 적는 당사자도 족저 근막염에 한번 걸린 경험도 있고 해서 경험을 토대로 정보 제공하는데 작게나마 도움이 되지 않
facet3.halluwon.com











